안녕하세요? 어린이 충치, 교정치료 경력 16년차 소아치과 전문의 김효선입니다.


오늘은 앞니 충치에 대해 말씀드리고자 합니다.
" 앞니를 예쁘게 치료하고 싶은데, 어디서 해야할지 고민되요.
다니던 치과에서는 계속 지켜보라고만 해요. 맞나요?
지켜보라고 하던 앞니에 염증이 생겼어요 ㅠㅠ "
이러한 말씀들을 하시면서 신환으로 아이를 데리고 오시는 부모님들이 종종 계십니다. 특히 요즘에는 만 3세정도에 아직 구멍이 나지 않은 앞니충치가 있어 대수롭지 않게 생각하였다가 2년정도 지나 진행이 되어 치아에 구멍이 심하게 나버린 후에 아이가 유치원에서 놀림을 받거나 너무 보기 싫어서 치료하고 싶다고 오시는 분들이 많이 계시네요. 진작 치료했으면 좋았을 것을.. 후회하시면서요.
앞니는 어금니에 비해서 빨리 빠지는 치아라 치료를 안하는 경우도 많지만 심미적으로 너무 눈에 잘 띄는 부위이고, 초등학교 입학 시에도 빠지지 않고 가져가는 경우가 많습니다. 그런 경우, 보기 싫은 앞니를 가지고 초등학교 생활을 해야하는 것을 걱정하시는 부모님도 많습니다.
그때가서 치료하려 해도 이미 유치뿌리가 녹고있어 치료도 못하고 뺄 때도 아직 안되어 애매해지는 경우가 많습니다. 그래서 만 5세~6세 경에도 아이의 영구치 맹출속도를 판단하여 심미적으로, 혹은 충치의 정도를 평가하여 예쁘게 치료해주는 경우도 많답니다.
아이유치앞니충치, 레진치료케이스_1
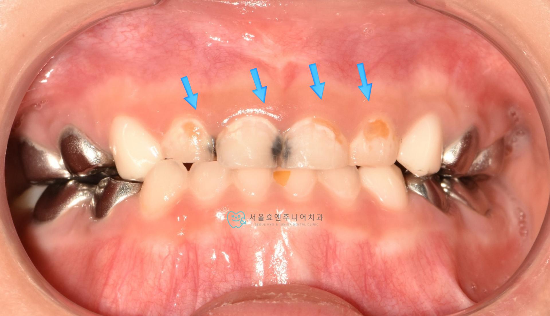
우리 친구는 만5세 친구로 앞니가 까맣게 썩어 보기 싫어 치료하고 싶다고 내원하셨습니다.


치료전 사진입니다.


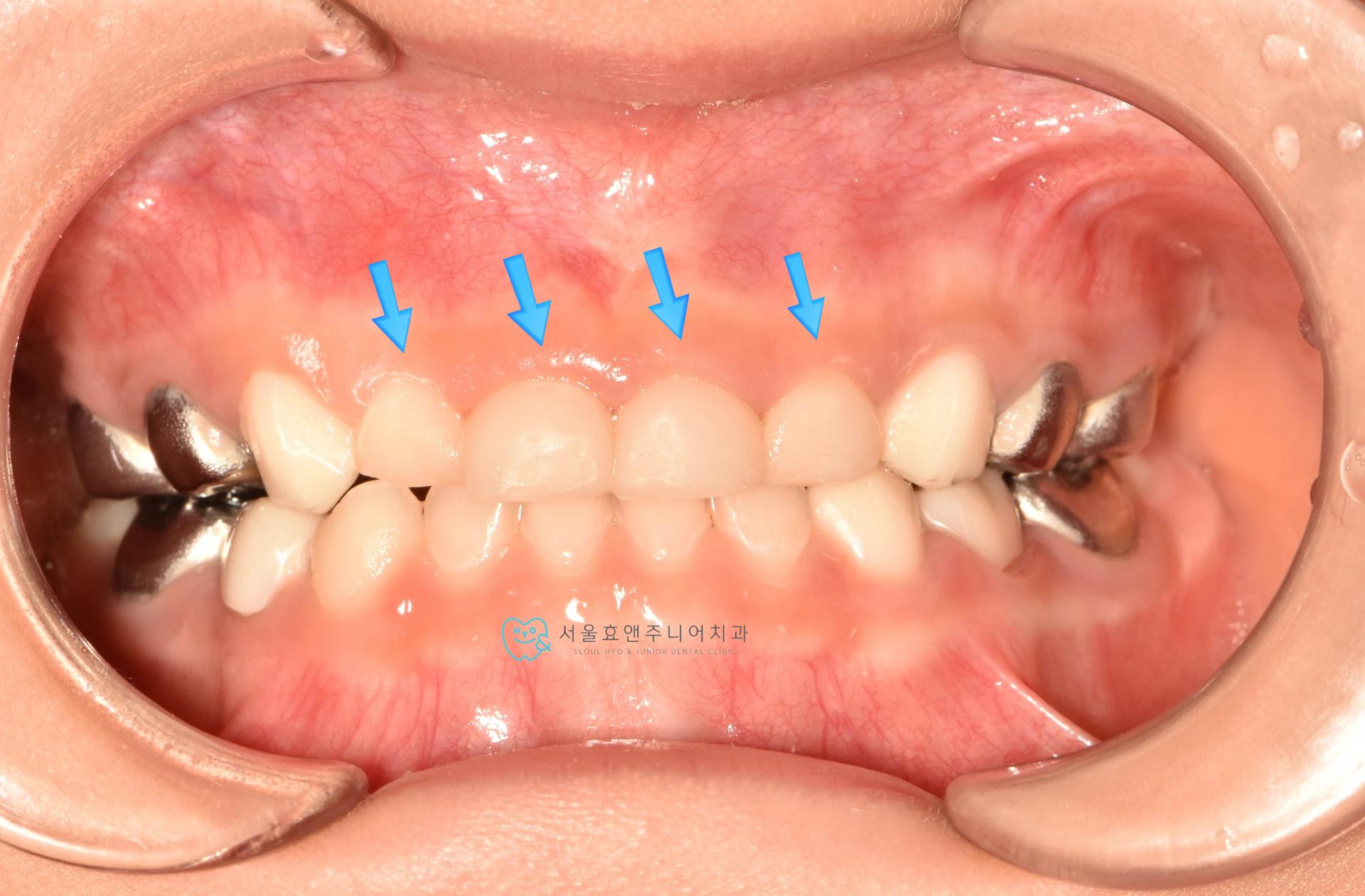
치료후 사진입니다.(치료후 3개월)
2년 전 저희 병원에서 수면치료로 송곳니 치료를 한 경험이 있습니다. 그때는 앞니니까 곧빠지겠지 했지만, 2년이 지나도록 충치는 심해지고, 아직도 2년 넘게 더 앞니를 쓸 생각을 하니 지금이라도 치료하여 예쁘게 써야겠다고 생각하시고 오셨습니다.


아이유치앞니충치, 치료전사진입니다. 치아사이에 까맣게 충치가 보이네요.



충치를 모두 제거한 뒤입니다. 여기저기 충치가 깊어 신경이 비치는 곳이 있습니다. 다행히 신경치료를 들어가야 하는 치아는 없었습니다.


충치를 레진으로 치료한 뒤입니다. 치아의 양 벽면을 레진으로 깨끗하게 수복하였습니다.
수면치료 하에 앞니 4개를 모두 레진치료하였습니다. 충치의 범위가 넓어 레진치료하기가 까다로웠지만, 결과는 예쁘게 되었네요. 치아가 깨끗하고 예뻐져서 부모님도 아이도 만족하는 치료였으며 저도 보람을 느꼈습니다. 아직 첫번째 앞니는 2년정도 , 두번째 앞니는 3년 넘게 더 쓸것으로 보입니다.
치료 개시일 : 2024.04.30. 치료 종료일 : 2024. 04.30. |
본 포스팅은 의료정보 제공 목적으로 의료법 제 56조 1항을 준수하여 치과의사가 직접 작성한 글입니다.
이 치료결과는 본 환자분에게만 해당되는 것이며
환자의 상태에 따라 치료결과가 다를 수 있습니다.
치료 전 후 사진은 인물이 동일하며, 같은 조건하에서 촬영한 사진을 사용하여씁니다.
모든 시술은 개인에 따라 차이가 있을 수 있으며 부작용(염증, 붓기 등)이 발생할 수 있습니다.
담당 의료진과 충분한 상담 후 치료를 진행하시기 바랍니다.
안녕하세요? 어린이 충치, 교정치료 경력 16년차 소아치과 전문의 김효선입니다.
오늘은 앞니 충치에 대해 말씀드리고자 합니다.
" 앞니를 예쁘게 치료하고 싶은데, 어디서 해야할지 고민되요.
다니던 치과에서는 계속 지켜보라고만 해요. 맞나요?
지켜보라고 하던 앞니에 염증이 생겼어요 ㅠㅠ "
이러한 말씀들을 하시면서 신환으로 아이를 데리고 오시는 부모님들이 종종 계십니다. 특히 요즘에는 만 3세정도에 아직 구멍이 나지 않은 앞니충치가 있어 대수롭지 않게 생각하였다가 2년정도 지나 진행이 되어 치아에 구멍이 심하게 나버린 후에 아이가 유치원에서 놀림을 받거나 너무 보기 싫어서 치료하고 싶다고 오시는 분들이 많이 계시네요. 진작 치료했으면 좋았을 것을.. 후회하시면서요.
앞니는 어금니에 비해서 빨리 빠지는 치아라 치료를 안하는 경우도 많지만 심미적으로 너무 눈에 잘 띄는 부위이고, 초등학교 입학 시에도 빠지지 않고 가져가는 경우가 많습니다. 그런 경우, 보기 싫은 앞니를 가지고 초등학교 생활을 해야하는 것을 걱정하시는 부모님도 많습니다.
그때가서 치료하려 해도 이미 유치뿌리가 녹고있어 치료도 못하고 뺄 때도 아직 안되어 애매해지는 경우가 많습니다. 그래서 만 5세~6세 경에도 아이의 영구치 맹출속도를 판단하여 심미적으로, 혹은 충치의 정도를 평가하여 예쁘게 치료해주는 경우도 많답니다.
아이유치앞니충치, 레진치료케이스_1
우리 친구는 만5세 친구로 앞니가 까맣게 썩어 보기 싫어 치료하고 싶다고 내원하셨습니다.
치료전 사진입니다.
치료후 사진입니다.(치료후 3개월)
2년 전 저희 병원에서 수면치료로 송곳니 치료를 한 경험이 있습니다. 그때는 앞니니까 곧빠지겠지 했지만, 2년이 지나도록 충치는 심해지고, 아직도 2년 넘게 더 앞니를 쓸 생각을 하니 지금이라도 치료하여 예쁘게 써야겠다고 생각하시고 오셨습니다.
아이유치앞니충치, 치료전사진입니다. 치아사이에 까맣게 충치가 보이네요.
충치를 모두 제거한 뒤입니다. 여기저기 충치가 깊어 신경이 비치는 곳이 있습니다. 다행히 신경치료를 들어가야 하는 치아는 없었습니다.
충치를 레진으로 치료한 뒤입니다. 치아의 양 벽면을 레진으로 깨끗하게 수복하였습니다.
수면치료 하에 앞니 4개를 모두 레진치료하였습니다. 충치의 범위가 넓어 레진치료하기가 까다로웠지만, 결과는 예쁘게 되었네요. 치아가 깨끗하고 예뻐져서 부모님도 아이도 만족하는 치료였으며 저도 보람을 느꼈습니다. 아직 첫번째 앞니는 2년정도 , 두번째 앞니는 3년 넘게 더 쓸것으로 보입니다.
본 포스팅은 의료정보 제공 목적으로 의료법 제 56조 1항을 준수하여 치과의사가 직접 작성한 글입니다.
이 치료결과는 본 환자분에게만 해당되는 것이며
환자의 상태에 따라 치료결과가 다를 수 있습니다.
치료 전 후 사진은 인물이 동일하며, 같은 조건하에서 촬영한 사진을 사용하여씁니다.
모든 시술은 개인에 따라 차이가 있을 수 있으며 부작용(염증, 붓기 등)이 발생할 수 있습니다.
담당 의료진과 충분한 상담 후 치료를 진행하시기 바랍니다.