"아직 아이가 어린데... 수면치료를 해서 치료하는게 맞는 걸까요?"
"아이가 아직 어린데 안전할까요? 아이 머리가 나빠지는 건 아닐까요?
"수면치료는 치료과정을 기억 못한다고 하던데.. 두뇌성장에 영향주는 거 아닐까요?"
안녕하세요? 아이치과 수면치료 경력 16년차 소아치과 전문의 김효선입니다.
오늘은 어린이 수면치료에 관한 부모님들의 걱정에 대한 답을 드리며, 부끄럽지만 제 아이들의 수면치료 이야기도 같이 해드릴게요.
나이가 아직 많이 어려 치료의 필요성에 대해 이해하기 어려운 경우 아이는 정서적으로 많이 힘들 수 있습니다. 어른도 무서운 것이 치과치료이니까요.
너무 어린 나이에 치과치료를 여러번 강제로 하게 되는 경우, 심각한 치과 트라우마를 입게 되어 성인이 되어서까지 치과치료를 받는데 어려움을 겪는 일이 흔합니다. 결국 치과를 잘 못가게 되어 적절한 구강관리를 못하게 되고 소중한 치아를 잃는 일이 계속 발생하죠. 저는 그러한 사례를 치과의사를 하며 많이 보았습니다.
치료는 꼭 필요한데, 아이의 정서적인 트라우마를 막아야하는 이러한 딜레마를 극복해야하는 상황에서 수면치료는 좋은 대안이 될 수 있습니다. 물론 모든 경우에 첫번째로 선택하는 안은 아니고,
1. 나이가 너무 어리거나(만4세 이하)
2. 신경치료를 포함한 많은 치아를 치료해야하는 경우
3. 다른 치과에서 이미 부정적인 치과 경험을 한 경우
4. 선천적으로 예민하거나 겁이 많아 치료에 어려움을 호소하는 경우 등
웃음가스나 다른 달래는 방법으로 아이에게 도움을 주지 못한다는 확실한 판단이 설 경우에 수면치료를 선택합니다.
그런데 이렇게 수면치료를 선택하고서도 걱정이 되실거에요.
"수면치료가 필요한건 알겠는데..수면치료하다가 못깨어난 아이도 있다는데.. 너무 어린 아이가 괜찮을까?"
"치료에 대한 기억이 없다는데, 그러면 뇌 발달에 문제 있는거 아닐까?"
수면치료를 매일하는 저희에게 많이 들어오는 질문들입니다.
원장님아이들은 수면치료를 어떻게 했나요?
저는 딸하나, 아들하나가 있는 엄마입니다.^^
저는 치과의사임에도... 아이들 둘 다 충치가 많이 생겨 수면치료로 전체 치아를 치료했습니다. 워킹맘이라 낮시간에 신경을 잘 못써주기도 했고.. 또 아이들이 워낙 입이 짧아 밥을 물고 있는 아이들이었어요.. ㅠㅠ 밥을 물고 있으면 충치가 생기는 것을 막기 어렵습니다.
(핑계같이 들리지만... 사실입니다. 그러니 밥을 물고 있는 아이들의 부모님들은 긴장하시고, 불소도포와 치실 꼭 해주세요!ㅎㅎ)




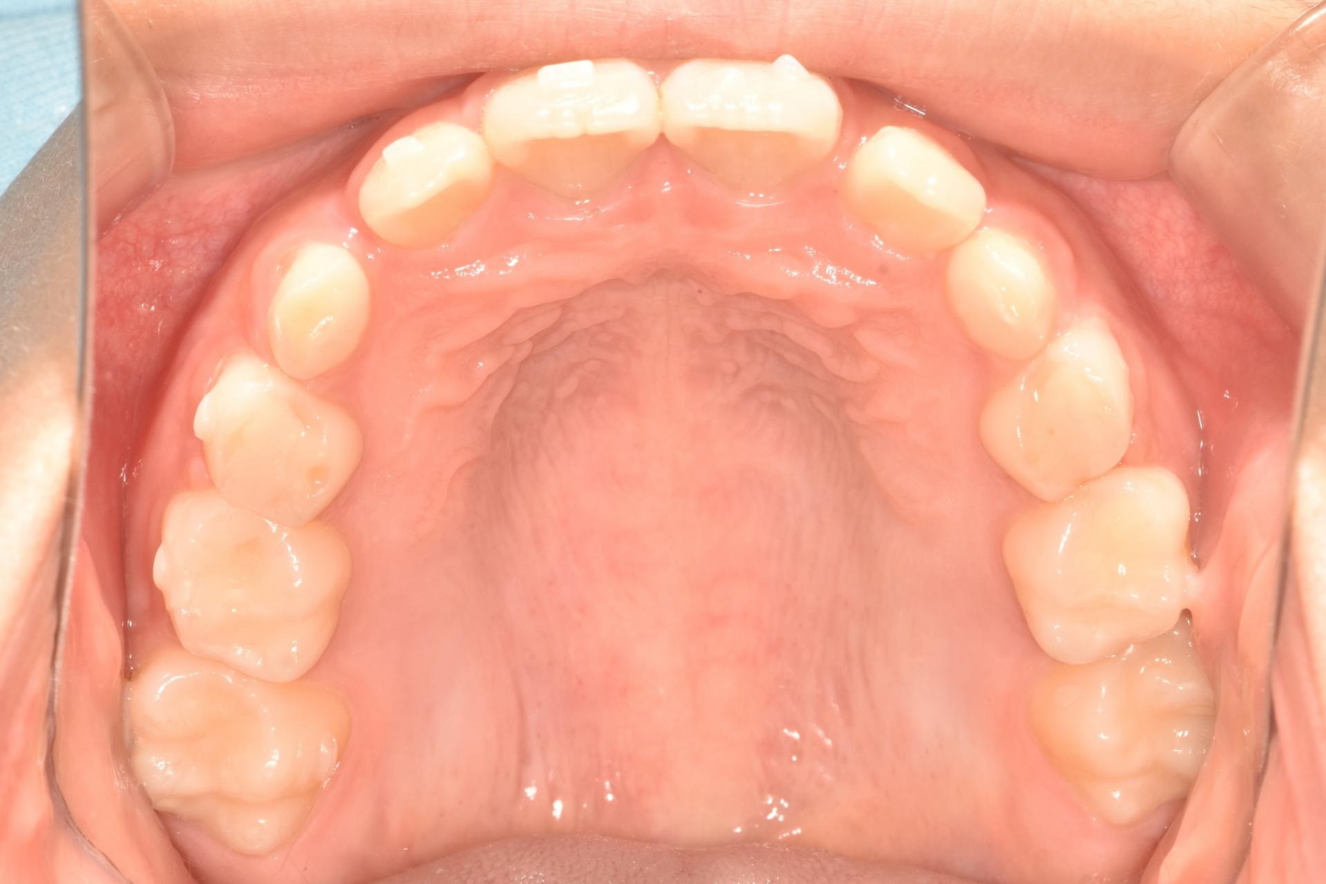
치아 사이충치를 레진으로 8개 치료, 아래 어금니 하나는 지르코니아 크라운으로 치료한 제 큰아이 입니다. (아이에게 동의를 구하고 올립니다.ㅎㅎ)


그런데 치료할 것이 많은데 당시 만 4세 조금 넘은 어린아이였어서.. 겁도 워낙 많은 아이구요, 저는 고민도 하지 않고 수면치료를 택했습니다.
저희 큰 딸은 유치를 모두 수면치료로 치료한 후 , 지금까지 관리 잘하며 아무 탈 없이 지내고 있고, 초등학생이 되어 유치 뒤로 영구치가 4개 났는데 역시 충치가 생겨^^; 다행히 어린시절 힘든 치과치료의 기억이 없어 큰 치과 트라우마 없이 수월하게 웃음가스 만으로 치료 잘 해주었답니다. 지금은 대부분의 유치를 잘 뺴고 영구치로 예쁘게 교환했습니다.
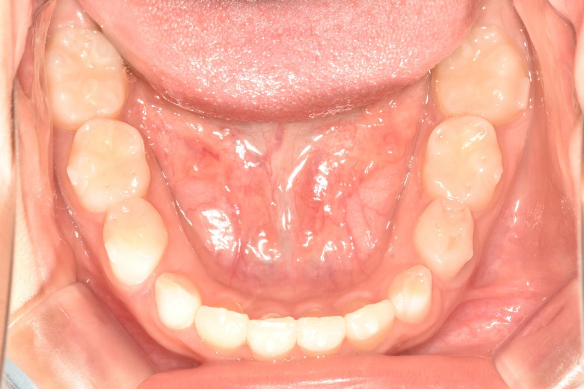
단 것 좋아하는 둘째 아이의 경우도 마찬가지로 수면치료 했습니다.

앞니, 어금니 모두 레진치료 했네요...^^;;
둘째 아이도 겁이 많은 아이지만 치과에 안좋은 기억이 전혀 없으며 이제는 초등학생이 되어 예쁜 영구치앞니로 모두 교환했습니다.


치료는 수면치료 하에 모두 마치고 이제 교정중인 둘째입니다.
이렇게 어린이 수면치료의 성공적인 두 사례를 소아치과 원장인 제가 직접 보유하고 있습니다^^
수면치료 궁금증들
1, 위험하지 않을까?
어린이 수면치료를 할 때에는 꼭 수면치료를 하는 의사가 전문적인 트레이닝을 받은 소아치과 전문의인지 확인하세요. 소아치과 전문의는 수련과정에서 어린이를 수면치료하는데 필수적인 지식과 술기를 3년의 기간동안 수련받습니다.
제가 수련한 서울대학교 소아치과에는 전국 유일하게 마취과 출신 교수님께서 소아치과교수님으로 계셔서 직접 진정법, 전신마취, 심폐소생술, 응급상황대처법 등 본원 마취과 수련의들의 트레이닝과 같은 과정의 수련을 거치는 기간이 있습니다.
이렇게 어린이 수면치료만을 전문적으로 수련한 소아치과 전문의가 적정수준의 약물을 제대로 처방하는지, 치료 중간에 제대로 된 모니터링을 하는 인원이 있는지, 많은 수면치료 경험과 노하우가 있는지 확인 하신 후 수면치료 결정을 내리시는 것이 좋겠습니다.

서울효앤주니어치과 정기 세미나- 응급상황대처 메뉴얼 숙지
수면치료에 심한 두려움을 가지신 부모님께서 종종 계십니다. 깊이 이해합니다. 허나, 아이를 위해 수면치료를 선택할 수 밖에 없는 상황이라면 저는 주저 않고 선택하겠습니다.(실제로 선택했구요) 저희 치과에서는 절대 사고가 나지 않도록 그동안 수많은 경험을 통해 노하우를 쌓고 모든 조치를 다하고 있으며 이것만이 소아치과에서 두려움이 많은 아이들에게 해줄 수 있는 최후의, 최선의 방법이라고 믿기 때문입니다.
2. 뇌발달에 문제가 없을까?
어린이 수면치료에는 안전성이 입증된 약물만을 사용합니다.
치과 치료 시의 불편한 감정과 부정적인 경험에 대한 기억을 갖지 않도록 해주는 효과적인 약물로는 미다졸람 이라는 약물이 주로 사용됩니다. 이러한 기전은 아이의 뇌발달 저해와는 전혀 상관이 없으며 미다졸람으로 인하여 아이의 뇌발달에 문제가 있다는 연구결과 및 임상 결과가 발표된 적이 없습니다.
그러므로 나쁜 기억을 갖지 않게 해준다는 사실만으로 아이의 뇌발달이 저해되는 것은 아닐까 걱정은 전혀 하지 않으셔도 됩니다.
어린이 수면치료, 정말 하자니 무섭고 안하자니 아이가 힘들것 같고..
부모님들께서 얼마나 고민을 많이 하시는지 잘 압니다. 그래서 저희 치과에서 상담을 할때도 가장 오래, 많은 것들을 상담하는 부분이 바로 수면치료입니다.
그러나 확실히 아이에게 도움이 되는 부분이 있으니 시행하는 것이 수면치료입니다. 그러니 한 건의 수면치료를 하더라도 많이 준비하는 곳, 그 수면치료를 위해 스텝이 충분히 투입되고, 충분한 노하우가 있는 치과의사에게 수면치료를 받으세요. 단순히 치료 비용 비교만으로 수면치료를 결정하시지는 않으셨으면 합니다.
서울효앤주니어치과는 치료한 케이스 수가 워낙 많아지다 보니 쉬운 케이스에서 어려운 케이스 까지 여러 경우의 아이들을 두루 치료하여 효앤주니어 만의 노하우를 쌓게 되었습니다. 다른 치과에서 어렵다고 하시는 몸무게 40kg 이상의 치과공포증이 심한 초등학생도 저희 치과로 의뢰해주시고 계십니다.
아이가 충치가 많아 고민이신가요? 수면치료에 대해서 알고 싶으신게 많으신가요? 이 글을 읽고 아이에게 수면치료가 도움이 될 수 있다는 생각이 드신다면 문의하세요^^
"아직 아이가 어린데... 수면치료를 해서 치료하는게 맞는 걸까요?"
"아이가 아직 어린데 안전할까요? 아이 머리가 나빠지는 건 아닐까요?
"수면치료는 치료과정을 기억 못한다고 하던데.. 두뇌성장에 영향주는 거 아닐까요?"
안녕하세요? 아이치과 수면치료 경력 16년차 소아치과 전문의 김효선입니다.
오늘은 어린이 수면치료에 관한 부모님들의 걱정에 대한 답을 드리며, 부끄럽지만 제 아이들의 수면치료 이야기도 같이 해드릴게요.
나이가 아직 많이 어려 치료의 필요성에 대해 이해하기 어려운 경우 아이는 정서적으로 많이 힘들 수 있습니다. 어른도 무서운 것이 치과치료이니까요.
너무 어린 나이에 치과치료를 여러번 강제로 하게 되는 경우, 심각한 치과 트라우마를 입게 되어 성인이 되어서까지 치과치료를 받는데 어려움을 겪는 일이 흔합니다. 결국 치과를 잘 못가게 되어 적절한 구강관리를 못하게 되고 소중한 치아를 잃는 일이 계속 발생하죠. 저는 그러한 사례를 치과의사를 하며 많이 보았습니다.
치료는 꼭 필요한데, 아이의 정서적인 트라우마를 막아야하는 이러한 딜레마를 극복해야하는 상황에서 수면치료는 좋은 대안이 될 수 있습니다. 물론 모든 경우에 첫번째로 선택하는 안은 아니고,
1. 나이가 너무 어리거나(만4세 이하)
2. 신경치료를 포함한 많은 치아를 치료해야하는 경우
3. 다른 치과에서 이미 부정적인 치과 경험을 한 경우
4. 선천적으로 예민하거나 겁이 많아 치료에 어려움을 호소하는 경우 등
웃음가스나 다른 달래는 방법으로 아이에게 도움을 주지 못한다는 확실한 판단이 설 경우에 수면치료를 선택합니다.
그런데 이렇게 수면치료를 선택하고서도 걱정이 되실거에요.
"수면치료가 필요한건 알겠는데..수면치료하다가 못깨어난 아이도 있다는데.. 너무 어린 아이가 괜찮을까?"
"치료에 대한 기억이 없다는데, 그러면 뇌 발달에 문제 있는거 아닐까?"
수면치료를 매일하는 저희에게 많이 들어오는 질문들입니다.
원장님아이들은 수면치료를 어떻게 했나요?
저는 딸하나, 아들하나가 있는 엄마입니다.^^
저는 치과의사임에도... 아이들 둘 다 충치가 많이 생겨 수면치료로 전체 치아를 치료했습니다. 워킹맘이라 낮시간에 신경을 잘 못써주기도 했고.. 또 아이들이 워낙 입이 짧아 밥을 물고 있는 아이들이었어요.. ㅠㅠ 밥을 물고 있으면 충치가 생기는 것을 막기 어렵습니다.
(핑계같이 들리지만... 사실입니다. 그러니 밥을 물고 있는 아이들의 부모님들은 긴장하시고, 불소도포와 치실 꼭 해주세요!ㅎㅎ)
치아 사이충치를 레진으로 8개 치료, 아래 어금니 하나는 지르코니아 크라운으로 치료한 제 큰아이 입니다. (아이에게 동의를 구하고 올립니다.ㅎㅎ)
그런데 치료할 것이 많은데 당시 만 4세 조금 넘은 어린아이였어서.. 겁도 워낙 많은 아이구요, 저는 고민도 하지 않고 수면치료를 택했습니다.
저희 큰 딸은 유치를 모두 수면치료로 치료한 후 , 지금까지 관리 잘하며 아무 탈 없이 지내고 있고, 초등학생이 되어 유치 뒤로 영구치가 4개 났는데 역시 충치가 생겨^^; 다행히 어린시절 힘든 치과치료의 기억이 없어 큰 치과 트라우마 없이 수월하게 웃음가스 만으로 치료 잘 해주었답니다. 지금은 대부분의 유치를 잘 뺴고 영구치로 예쁘게 교환했습니다.
단 것 좋아하는 둘째 아이의 경우도 마찬가지로 수면치료 했습니다.
앞니, 어금니 모두 레진치료 했네요...^^;;
둘째 아이도 겁이 많은 아이지만 치과에 안좋은 기억이 전혀 없으며 이제는 초등학생이 되어 예쁜 영구치앞니로 모두 교환했습니다.
치료는 수면치료 하에 모두 마치고 이제 교정중인 둘째입니다.
이렇게 어린이 수면치료의 성공적인 두 사례를 소아치과 원장인 제가 직접 보유하고 있습니다^^
수면치료 궁금증들
1, 위험하지 않을까?
어린이 수면치료를 할 때에는 꼭 수면치료를 하는 의사가 전문적인 트레이닝을 받은 소아치과 전문의인지 확인하세요. 소아치과 전문의는 수련과정에서 어린이를 수면치료하는데 필수적인 지식과 술기를 3년의 기간동안 수련받습니다.
제가 수련한 서울대학교 소아치과에는 전국 유일하게 마취과 출신 교수님께서 소아치과교수님으로 계셔서 직접 진정법, 전신마취, 심폐소생술, 응급상황대처법 등 본원 마취과 수련의들의 트레이닝과 같은 과정의 수련을 거치는 기간이 있습니다.
이렇게 어린이 수면치료만을 전문적으로 수련한 소아치과 전문의가 적정수준의 약물을 제대로 처방하는지, 치료 중간에 제대로 된 모니터링을 하는 인원이 있는지, 많은 수면치료 경험과 노하우가 있는지 확인 하신 후 수면치료 결정을 내리시는 것이 좋겠습니다.
서울효앤주니어치과 정기 세미나- 응급상황대처 메뉴얼 숙지
수면치료에 심한 두려움을 가지신 부모님께서 종종 계십니다. 깊이 이해합니다. 허나, 아이를 위해 수면치료를 선택할 수 밖에 없는 상황이라면 저는 주저 않고 선택하겠습니다.(실제로 선택했구요) 저희 치과에서는 절대 사고가 나지 않도록 그동안 수많은 경험을 통해 노하우를 쌓고 모든 조치를 다하고 있으며 이것만이 소아치과에서 두려움이 많은 아이들에게 해줄 수 있는 최후의, 최선의 방법이라고 믿기 때문입니다.
2. 뇌발달에 문제가 없을까?
어린이 수면치료에는 안전성이 입증된 약물만을 사용합니다.
치과 치료 시의 불편한 감정과 부정적인 경험에 대한 기억을 갖지 않도록 해주는 효과적인 약물로는 미다졸람 이라는 약물이 주로 사용됩니다. 이러한 기전은 아이의 뇌발달 저해와는 전혀 상관이 없으며 미다졸람으로 인하여 아이의 뇌발달에 문제가 있다는 연구결과 및 임상 결과가 발표된 적이 없습니다.
그러므로 나쁜 기억을 갖지 않게 해준다는 사실만으로 아이의 뇌발달이 저해되는 것은 아닐까 걱정은 전혀 하지 않으셔도 됩니다.
어린이 수면치료, 정말 하자니 무섭고 안하자니 아이가 힘들것 같고..
부모님들께서 얼마나 고민을 많이 하시는지 잘 압니다. 그래서 저희 치과에서 상담을 할때도 가장 오래, 많은 것들을 상담하는 부분이 바로 수면치료입니다.
그러나 확실히 아이에게 도움이 되는 부분이 있으니 시행하는 것이 수면치료입니다. 그러니 한 건의 수면치료를 하더라도 많이 준비하는 곳, 그 수면치료를 위해 스텝이 충분히 투입되고, 충분한 노하우가 있는 치과의사에게 수면치료를 받으세요. 단순히 치료 비용 비교만으로 수면치료를 결정하시지는 않으셨으면 합니다.
서울효앤주니어치과는 치료한 케이스 수가 워낙 많아지다 보니 쉬운 케이스에서 어려운 케이스 까지 여러 경우의 아이들을 두루 치료하여 효앤주니어 만의 노하우를 쌓게 되었습니다. 다른 치과에서 어렵다고 하시는 몸무게 40kg 이상의 치과공포증이 심한 초등학생도 저희 치과로 의뢰해주시고 계십니다.
아이가 충치가 많아 고민이신가요? 수면치료에 대해서 알고 싶으신게 많으신가요? 이 글을 읽고 아이에게 수면치료가 도움이 될 수 있다는 생각이 드신다면 문의하세요^^