안녕하세요? 어린이 교정치료 및 구강질환 치료를 전공한 소아치과 전문의 김효선입니다.
오늘은 초등 중~ 고학년 어린이의 반대교합에 대한 말씀을 드리겠습니다. 반대교합은 어린시기에 발견하자마자 고쳐주는 것이 가장 좋고 이상적입니다. 그 이유는 성장하면서 윗턱이 더 잘 자랄 수 있는 환경을 만들어주고, 아래턱의 성장방향을 바꾸어주는 것이 앞으로 심한 주걱턱이 될 확률을 크게 낮추어주기 때문입니다.
그런데 종종 치료시기를 놓쳐 초등학교 3.4학년 혹은 5.6학년 어린이들이 반대교합으로 고민하며 찾아옵니다. 종종 이런 친구들은 교정에 대해 거부감이 있는 친구이거나, 페이스마스크가 너무 불편할거 같아서 교정을 미루다가 고학년이 되어버린 친구들도 있습니다. (다만...그렇게 불편하지 않습니다. ㅠㅠ)
그런데 아이가 성장하면 사춘기가 찾아오고 외모에 대한 관심이 남녀 할것 없이 높아집니다. 반대교합은 워낙 외모적으로 잘 보이는 부분이다 보니, 고민이 되죠.
만 10세가 넘어가는 친구에서도 성공적으로 페이스마스크를 적용하여 치료를 한 친구들도 있지만, 오늘은 프리올소를 사용하여 아주 간단하게 반대교합을 해결하여 만족스런 결과를 얻은 증례를 소개할까 합니다.

근기능장치 프리올소 T3 - 프리올소는 여러타입이 있는데 이 중 반대교합에 사용하는 타입입니다.
프리올소는 밤에 잘때 끼고 자는 마우스피스형 장치로, 다른 교정장치에 비해 간단하며 낮은비용으로 좋은 효과를 볼 수 있는 장치입니다. 경험 많은 치과의사의 진단 아래 케이스를 잘 선정하여 적용하면 정말 좋은 장치랍니다!

" 이가 거꾸로 물려요. - 초등학교 고학년 "




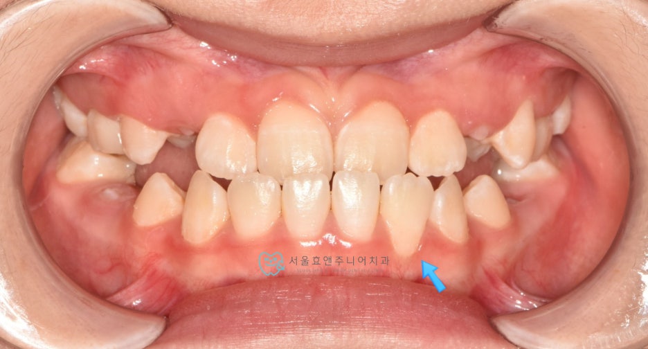
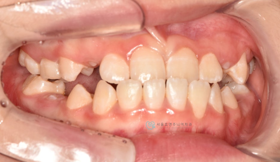
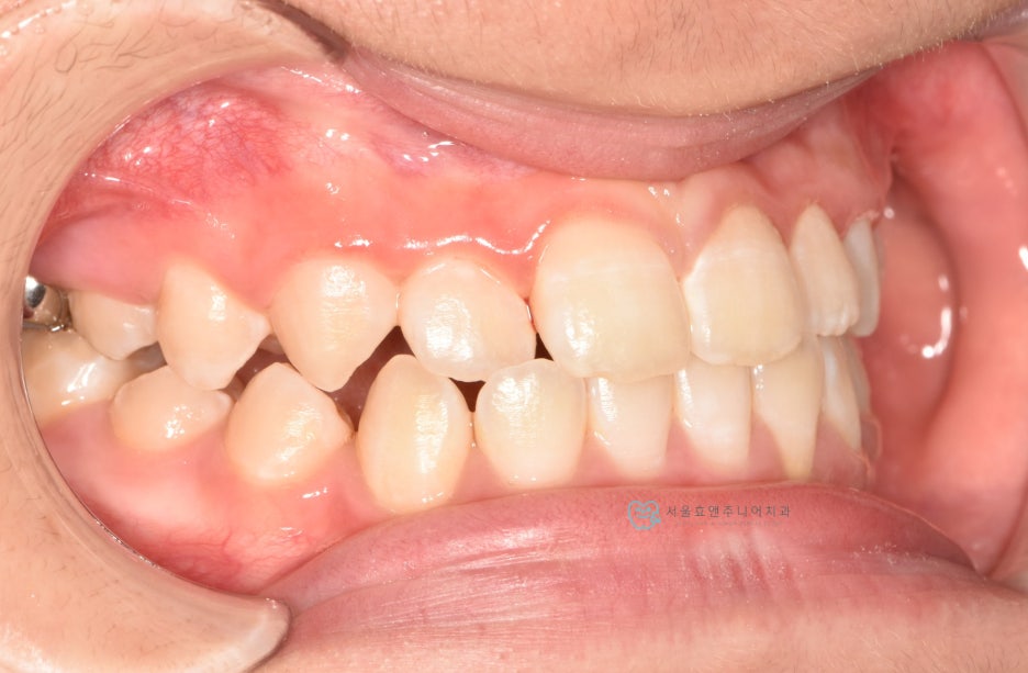
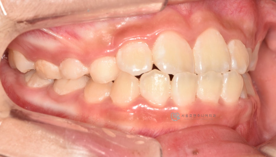
초진사진입니다
초진사진입니다. 11세 5개월 환아로, 반대교합을 보이고 있습니다. 반대교합으로 인해 치아가 부딪혀 치은퇴축(잇몸이 내려감)도 보이고 있네요.(화살표)
전체 교정을 하는 것이 맞는 거의 영구치열에 접어든 시기였지만, 불편한 교정에 대한 마음의 준비가 전혀 되어있지 않았고, 반대교합을 수정하고 싶은 마음은 있었습니다. 최선이 아닌 차선책으로 프리올소를 사용하여 반대교합을 수정해보기로 하였습니다. (어린이 교정은 항상 어린이 본인의 교정에 대한 욕구와 협조하려는 의지가 고려되어야 합니다.)




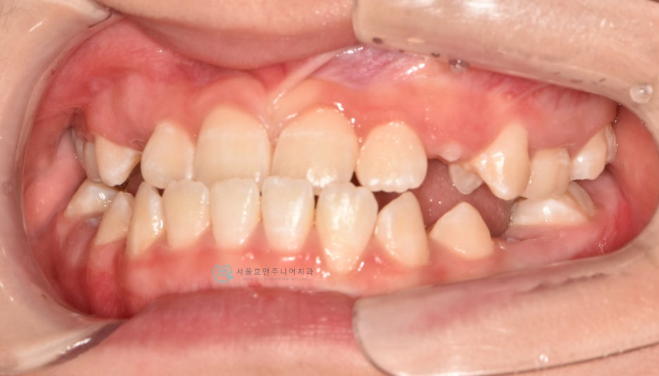
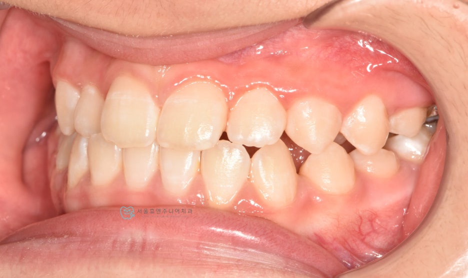
프리올소 착용 9개월 뒤
프리올소 착용 후 9개월 뒤 모습입니다. 앞니 반대교합이 수정되었습니다. 처음에 문제가 되고 있었던 아래앞니의 치은퇴축도 많이 개선되었습니다. 교합이 개선되어 치아의 위치가 바로잡히고, 치아에 무리한 힘을 더 이상 주지 않으니, 치은퇴축은 시간이 더 지나면서 점점 더 개선될 것으로 생각됩니다.
치아의 경미한 삐뚤빼뚤함은 성장완료 후, 아이가 교정을 받아들일 마음의 준비가 되었을 때, 치열교정으로 해결하기로 하였습니다. 우선은 아주 간단한 장치로 아이가 중,고등학교시기에 심한 반대교합으로 위축되지 않도록 도와줄 수 있어 다행입니다. 다만, 아래턱의 성장은 계속적인 검진을 하며 지켜보아야 합니다.
치료개시일: 2024. 01. 06 치료종료일: 2024. 10. 01 |
"부정교합이에요. - 초등학교 고학년"

다음 케이스입니다.
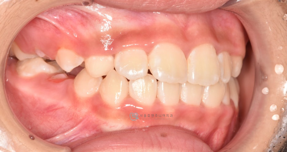
너무 예쁜 10세 11개월의 여자친구인데 반대교합이 있네요.






초진사진입니다. 앞니의 반대교합이 보입니다.
잘 때만 마우스피스형태로 물고 자는 프리올소를 사용하여 반대교합을 수정하였습니다.






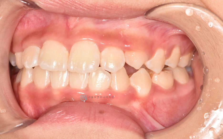
프리올소 7개월 후
아이가 고학년이다 보니, 워낙 장치를 잘 껴주어서 효과도 금방 나타나고 결과도 안정적이네요^^
반대교합은 해소되었고, 앞니 아랫니와의 관계가 안정적입니다. 처음에는 위와 아래 앞니의 약간의 삐뚤빼뚤함이 있었는데 장치를 워낙 잘껴주어 치열도 어느정도 고르게 정리되었습니다.
우리 친구가 청소년 시기를 더 자신있고 예쁘게 보낼 수 있게 되어 너무 좋네요.
치료개시일: 2024.01. 06. 치료종료일: 2024. 08.07. |
반대교합이 고민되시나요?
초등학교 고학년이면 영구치가 어느 정도 모두 맹출되어 당장, 혹은 조금 더 기다려 전체 교정을 할 수 있는 연령입니다. 만일 아이의 이가 반대교합인데다 삐뚤빼뚤한 덧니까지 있고 전체적으로 많은 문제들을 가지고 있다면 전체교정을 하는 것이 더 나을 수 있을 것입니다.
그러나 종종 이는 고른편인데 반대교합만 살짝 수정하면 되는 케이스라든지, 당장 전체교정을 하기 어려운 상황이 있습니다. 이런 경우 정밀한 교정분석을 통해 간단한 프리올소로 반대교합을 수정해줄 수 있는 옵션도 있습니다.
물론, 모든 친구들이 이렇게 간단하게 교정을 할 수 있는 것은 아닙니다. 페이스마스크를 꼭 사용해야만 얼굴이 예뻐지는 친구들도 있을것이고, 브라켓교정이나 투명교정으로 다른 문제들을 해결해야만 하는 경우도 있을 것입니다. 그래서 교정 정밀진단이 꼭 필요합니다. ^^
교정을 하긴 해야할 것 같은데 아이가 많이 힘들지는 않을까? 결과는 좋을까? 어떤 교정이 우리아이에게 가장 잘 맞을까? 많은 고민이 있으실 것으로 압니다.
치과와 상담하셔서 좋은치료 받으시길 바랍니다!
본 포스팅은 의료정보 제공 목적으로 의료법 제 56조 1항을 준수하여 치과의사가 직접 작성한 글입니다.
이 치료결과는 본 환자분에게만 해당되는 것이며 환자의 상태에 따라 치료결과가 다를 수 있습니다.
치료 전 후 사진은 인물이 동일하며, 같은 조건하에서 촬영한 사진을 사용하였습니다.
교정치료 시 치근 흡수나 충치 및 잇몸질환 등 부작용이 생길 수 있으니
치과 전문의와 상의하여 치료받으시기 바랍니다.
치료 전/후 사진은 의료법 제 23조,56조에 의거하여 게재합니다.
안녕하세요? 어린이 교정치료 및 구강질환 치료를 전공한 소아치과 전문의 김효선입니다.
오늘은 초등 중~ 고학년 어린이의 반대교합에 대한 말씀을 드리겠습니다. 반대교합은 어린시기에 발견하자마자 고쳐주는 것이 가장 좋고 이상적입니다. 그 이유는 성장하면서 윗턱이 더 잘 자랄 수 있는 환경을 만들어주고, 아래턱의 성장방향을 바꾸어주는 것이 앞으로 심한 주걱턱이 될 확률을 크게 낮추어주기 때문입니다.
그런데 종종 치료시기를 놓쳐 초등학교 3.4학년 혹은 5.6학년 어린이들이 반대교합으로 고민하며 찾아옵니다. 종종 이런 친구들은 교정에 대해 거부감이 있는 친구이거나, 페이스마스크가 너무 불편할거 같아서 교정을 미루다가 고학년이 되어버린 친구들도 있습니다. (다만...그렇게 불편하지 않습니다. ㅠㅠ)
그런데 아이가 성장하면 사춘기가 찾아오고 외모에 대한 관심이 남녀 할것 없이 높아집니다. 반대교합은 워낙 외모적으로 잘 보이는 부분이다 보니, 고민이 되죠.
만 10세가 넘어가는 친구에서도 성공적으로 페이스마스크를 적용하여 치료를 한 친구들도 있지만, 오늘은 프리올소를 사용하여 아주 간단하게 반대교합을 해결하여 만족스런 결과를 얻은 증례를 소개할까 합니다.
근기능장치 프리올소 T3 - 프리올소는 여러타입이 있는데 이 중 반대교합에 사용하는 타입입니다.
초진사진입니다
초진사진입니다. 11세 5개월 환아로, 반대교합을 보이고 있습니다. 반대교합으로 인해 치아가 부딪혀 치은퇴축(잇몸이 내려감)도 보이고 있네요.(화살표)
전체 교정을 하는 것이 맞는 거의 영구치열에 접어든 시기였지만, 불편한 교정에 대한 마음의 준비가 전혀 되어있지 않았고, 반대교합을 수정하고 싶은 마음은 있었습니다. 최선이 아닌 차선책으로 프리올소를 사용하여 반대교합을 수정해보기로 하였습니다. (어린이 교정은 항상 어린이 본인의 교정에 대한 욕구와 협조하려는 의지가 고려되어야 합니다.)
프리올소 착용 9개월 뒤
프리올소 착용 후 9개월 뒤 모습입니다. 앞니 반대교합이 수정되었습니다. 처음에 문제가 되고 있었던 아래앞니의 치은퇴축도 많이 개선되었습니다. 교합이 개선되어 치아의 위치가 바로잡히고, 치아에 무리한 힘을 더 이상 주지 않으니, 치은퇴축은 시간이 더 지나면서 점점 더 개선될 것으로 생각됩니다.
치아의 경미한 삐뚤빼뚤함은 성장완료 후, 아이가 교정을 받아들일 마음의 준비가 되었을 때, 치열교정으로 해결하기로 하였습니다. 우선은 아주 간단한 장치로 아이가 중,고등학교시기에 심한 반대교합으로 위축되지 않도록 도와줄 수 있어 다행입니다. 다만, 아래턱의 성장은 계속적인 검진을 하며 지켜보아야 합니다.
다음 케이스입니다.
너무 예쁜 10세 11개월의 여자친구인데 반대교합이 있네요.
초진사진입니다. 앞니의 반대교합이 보입니다.
잘 때만 마우스피스형태로 물고 자는 프리올소를 사용하여 반대교합을 수정하였습니다.
프리올소 7개월 후
아이가 고학년이다 보니, 워낙 장치를 잘 껴주어서 효과도 금방 나타나고 결과도 안정적이네요^^
반대교합은 해소되었고, 앞니 아랫니와의 관계가 안정적입니다. 처음에는 위와 아래 앞니의 약간의 삐뚤빼뚤함이 있었는데 장치를 워낙 잘껴주어 치열도 어느정도 고르게 정리되었습니다.
우리 친구가 청소년 시기를 더 자신있고 예쁘게 보낼 수 있게 되어 너무 좋네요.
초등학교 고학년이면 영구치가 어느 정도 모두 맹출되어 당장, 혹은 조금 더 기다려 전체 교정을 할 수 있는 연령입니다. 만일 아이의 이가 반대교합인데다 삐뚤빼뚤한 덧니까지 있고 전체적으로 많은 문제들을 가지고 있다면 전체교정을 하는 것이 더 나을 수 있을 것입니다.
그러나 종종 이는 고른편인데 반대교합만 살짝 수정하면 되는 케이스라든지, 당장 전체교정을 하기 어려운 상황이 있습니다. 이런 경우 정밀한 교정분석을 통해 간단한 프리올소로 반대교합을 수정해줄 수 있는 옵션도 있습니다.
물론, 모든 친구들이 이렇게 간단하게 교정을 할 수 있는 것은 아닙니다. 페이스마스크를 꼭 사용해야만 얼굴이 예뻐지는 친구들도 있을것이고, 브라켓교정이나 투명교정으로 다른 문제들을 해결해야만 하는 경우도 있을 것입니다. 그래서 교정 정밀진단이 꼭 필요합니다. ^^
교정을 하긴 해야할 것 같은데 아이가 많이 힘들지는 않을까? 결과는 좋을까? 어떤 교정이 우리아이에게 가장 잘 맞을까? 많은 고민이 있으실 것으로 압니다.
치과와 상담하셔서 좋은치료 받으시길 바랍니다!
본 포스팅은 의료정보 제공 목적으로 의료법 제 56조 1항을 준수하여 치과의사가 직접 작성한 글입니다.
이 치료결과는 본 환자분에게만 해당되는 것이며 환자의 상태에 따라 치료결과가 다를 수 있습니다.
치료 전 후 사진은 인물이 동일하며, 같은 조건하에서 촬영한 사진을 사용하였습니다.
교정치료 시 치근 흡수나 충치 및 잇몸질환 등 부작용이 생길 수 있으니
치과 전문의와 상의하여 치료받으시기 바랍니다.
치료 전/후 사진은 의료법 제 23조,56조에 의거하여 게재합니다.