안녕하세요? 서울효앤주니어치과 대표원장 김효선입니다.
오늘은 저희 병원에서 주로 하고 있는 투명교정 이야기를 해볼게요!

성장기 시기에 교정하는 것의 장점은 너무나 많은데요, 저희병원에서는 브라켓 교정도 많이 하고 투명교정도 많이하는데, 요즈음에는 대부분의 부모님들께서 투명교정을 선택하시는 추세입니다.
아무래도 교정하는동안 티나지 않고, 장치를 빼고 식사하며, 이를 닦을 수 있기 때문에 위생관리가 편하고, 철사찔림 등의 통증이 없고 치과에 바로 와야하는 응급상황이 잘 생기지 않는다는 장점이 있기 때문 아닐까요?
무엇보다 아이가 먼저 교정장치의 종류를 보고는 어린이투명교정을 강력하게 원하는 경우가 많죠😊
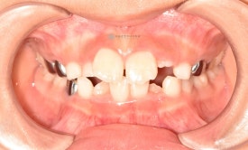
"이가 너무 삐뚤빼뚤 해요."






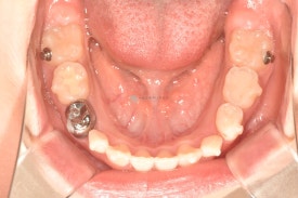
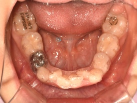
치료 전 - 위아래 심한 공간 부족이 관찰됩니다.
아이는 위 아래 심한 공간부족으로 인한 어린이덧니가 관찰됩니다. 공간부족으로 인해 앞니가 삐뚤빼뚤하게 나왔으며 곧 나올 위 두번째 앞니도 회전되어 맹출이 예상됩니다.
투명교정장치의 장점을 고려하여 어린이교정을 투명교정장치로 시작하였습니다. 아이의 협조도가 매우 좋아 하루가 다르게 예뻐져서 오네요!



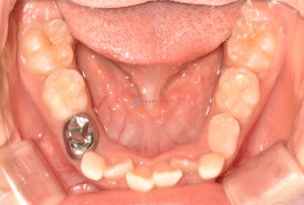
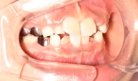
치료 전 - 위아래 심한 공간 부족이 관찰됩니다.
기존 교정장치와 같은 철사 찔림이 없고 확장과 치아배열이 동시에 잘되는 투명교정장치입니다. 착용한 상태에서도 거의 티나지 않아 아이들이 좋아합니다.😁
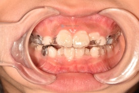
투명교정 10개월차입니다.






치료 후 - 유치 어금니들이 빠지고 영구치가 맹출하고 있습니다.송곳니가 나올 공간을 충분히 마련하며 확장하여 고른치열을 완성했습니다.
이대로 끝내도 좋겠지만 어린이투명교정치료의 18개월 기간이 아직 만료되지 않았습니다. 영구치 어금니 맹출을 조금 더 기다리다가 송곳니 어금니들이 맹출되면 그때 다시한번 장치를 만들어 앞니 디테일 마무리와 함께 새로 맹출하는 이들을 완벽하게 하고 마무리해하면 2차교정이 필요없을 것으로 생각됩니다.
어린이이교정 1차만으로 2차교정을 안할 수 있도록 최대한 공간을 모두 확보하고 치열교환을 끝까지 관리하는 것이 서울효앤주니어치과의 어린이교정 목표입니다.
변화 과정을 보실까요?






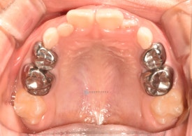
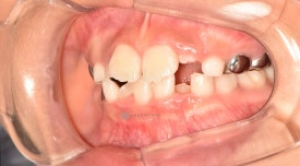
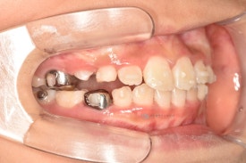
치료 전 - 위아래 심한 공간 부족이 관찰됩니다.
자세히 보면 아래 영구치 어금니의 충치도 치료하는 과정에서 깨끗하게 레진치료 해주었습니다. 교정하면서 충치검진이나 치료를 위해 다른 치과에 내원하지 않아도 된다는 점이 바쁜 우리 아이들에게는 큰 장점으로 다가오는 것 같습니다. 서울효앤주니어치과에서 교정체크 = 충치검진
어린이 덧니로 교정이 고민이 되시나요?
항상 그랬듯이 교정 시작부터 영구치열이 완성될 때까지 책임지고 관리하도록 하겠습니다.
치료개시일 : 2024.04.30. 최근자료채득일 : 2025.03.05. |
본 포스팅은 의료정보 제공 목적으로 의료법 제 56조 1항을 준수하여 치과의사가 직접 작성한 글입니다.
이 치료결과는 본 환자분에게만 해당되는 것이며 환자의 상태에 따라 치료결과가 다를 수 있습니다.
치료 전 후 사진은 인물이 동일하며, 같은 조건하에서 촬영한 사진을 사용하였습니다.
교정치료 시 치근 흡수나 충치 및 잇몸질환 등 부작용이 생길 수 있으니
치과 전문의와 상의하여 치료받으시기 바랍니다.
치료 전/후 사진은 의료법 제 23조,56조에 의거하여 게재합니다.
안녕하세요? 서울효앤주니어치과 대표원장 김효선입니다.
오늘은 저희 병원에서 주로 하고 있는 투명교정 이야기를 해볼게요!
성장기 시기에 교정하는 것의 장점은 너무나 많은데요, 저희병원에서는 브라켓 교정도 많이 하고 투명교정도 많이하는데, 요즈음에는 대부분의 부모님들께서 투명교정을 선택하시는 추세입니다.
아무래도 교정하는동안 티나지 않고, 장치를 빼고 식사하며, 이를 닦을 수 있기 때문에 위생관리가 편하고, 철사찔림 등의 통증이 없고 치과에 바로 와야하는 응급상황이 잘 생기지 않는다는 장점이 있기 때문 아닐까요?
무엇보다 아이가 먼저 교정장치의 종류를 보고는 어린이투명교정을 강력하게 원하는 경우가 많죠😊
"이가 너무 삐뚤빼뚤 해요."



치료 전 - 위아래 심한 공간 부족이 관찰됩니다.아이는 위 아래 심한 공간부족으로 인한 어린이덧니가 관찰됩니다. 공간부족으로 인해 앞니가 삐뚤빼뚤하게 나왔으며 곧 나올 위 두번째 앞니도 회전되어 맹출이 예상됩니다.
투명교정장치의 장점을 고려하여 어린이교정을 투명교정장치로 시작하였습니다. 아이의 협조도가 매우 좋아 하루가 다르게 예뻐져서 오네요!



치료 전 - 위아래 심한 공간 부족이 관찰됩니다.기존 교정장치와 같은 철사 찔림이 없고 확장과 치아배열이 동시에 잘되는 투명교정장치입니다. 착용한 상태에서도 거의 티나지 않아 아이들이 좋아합니다.😁
투명교정 10개월차입니다.



치료 후 - 유치 어금니들이 빠지고 영구치가 맹출하고 있습니다.송곳니가 나올 공간을 충분히 마련하며 확장하여 고른치열을 완성했습니다.
이대로 끝내도 좋겠지만 어린이투명교정치료의 18개월 기간이 아직 만료되지 않았습니다. 영구치 어금니 맹출을 조금 더 기다리다가 송곳니 어금니들이 맹출되면 그때 다시한번 장치를 만들어 앞니 디테일 마무리와 함께 새로 맹출하는 이들을 완벽하게 하고 마무리해하면 2차교정이 필요없을 것으로 생각됩니다.
어린이이교정 1차만으로 2차교정을 안할 수 있도록 최대한 공간을 모두 확보하고 치열교환을 끝까지 관리하는 것이 서울효앤주니어치과의 어린이교정 목표입니다.
변화 과정을 보실까요?


치료 전 - 위아래 심한 공간 부족이 관찰됩니다.자세히 보면 아래 영구치 어금니의 충치도 치료하는 과정에서 깨끗하게 레진치료 해주었습니다. 교정하면서 충치검진이나 치료를 위해 다른 치과에 내원하지 않아도 된다는 점이 바쁜 우리 아이들에게는 큰 장점으로 다가오는 것 같습니다. 서울효앤주니어치과에서 교정체크 = 충치검진
어린이 덧니로 교정이 고민이 되시나요?
항상 그랬듯이 교정 시작부터 영구치열이 완성될 때까지 책임지고 관리하도록 하겠습니다.
치료개시일 : 2024.04.30.
최근자료채득일 : 2025.03.05.
본 포스팅은 의료정보 제공 목적으로 의료법 제 56조 1항을 준수하여 치과의사가 직접 작성한 글입니다.
이 치료결과는 본 환자분에게만 해당되는 것이며 환자의 상태에 따라 치료결과가 다를 수 있습니다.
치료 전 후 사진은 인물이 동일하며, 같은 조건하에서 촬영한 사진을 사용하였습니다.
교정치료 시 치근 흡수나 충치 및 잇몸질환 등 부작용이 생길 수 있으니
치과 전문의와 상의하여 치료받으시기 바랍니다.
치료 전/후 사진은 의료법 제 23조,56조에 의거하여 게재합니다.