안녕하세요? 16년차 소아치과전문의 서울효앤주니어치과 대표원장 김효선입니다.
저희 병원에서 유치의 크라운을 할 때 치아색크라운(지르코니아 크라운)을 선택하시는 비율이 60퍼센트, 기존 은니(SS 크라운) 선택하시는 비율이 40퍼센트 정도 되는 것 같네요.
저는 교정이든 치료든, 무조건 아이들 이는 예쁘게 해주는 걸 좋아해서요, 임상을 시작한 초기부터 예쁜 지르코니아크라운에 관심을 가져 유치 지르코니아크라운이 처음 국내 도입된 시기부터 십몇년간 치료건수가 많이 쌓였습니다.
그런데 간혹, 다른 치과에서 혹은 다른 곳에서 "지르코니아 크라운은 치아삭제량이 많아서 신경치료 없이는 불가능하다" 라는 말을 들으시곤 저희에게 문의하시는 분들이 계십니다.
정말 그럴까요?
지르코니아 크라운은 난이도가 높은 시술이 맞습니다.
따라서 만일 제가 이 크라운을 일상적으로 매일 하지 않는다면, 지르코니아크라운이 치아에 들어가게 하기 위해서는 치아를 많이 깎게 되고, 잘 안맞으니 치아를 삭제하고, 맞춰보고, 또 삭제하고 맞춰보고 하는 과정에서 시간도 오래걸리고 삭제량도 많아질 수 있겠죠.
그러나 무엇이든 많이 해본 사람에게는 노하우가 생깁니다.
제가 지르코니아크라운 할 때 걸리는 시간은 기존의 은니크라운할 때 걸리는 시간과 비슷합니다. 또한 어느 포인트를 얼만큼 삭제해야 크라운이 들어가는지를 알고 있으니, 치아삭제량도 크지 않아 신경치료하지 않는 케이스에서 지르코니아크라운을 많이하고 있습니다. 즉, 신경을 건드리지 않는 정도로 적게 삭제하고 치아색크라운, 지르코니아크라운을 충분히 넣을 수 있답니다.
다음은 치아의 양 옆 사이가 썩어 가운데 낀 치아를 크라운한 케이스입니다.


치아의 양쪽에 사이충치가 있습니다.


양쪽 치아 레진치료 후, 가운데 치아 크라운치료 들어갑니다.삭제량이 크지 않아 신경치료 없이도 치료하였으며 잇몸 아래로 기구를 넣어 다듬는데도 잇몸에 출혈이 나지 않습니다.(잇몸이 크게 다치치 않습니다.)


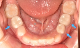
맞는 사이즈의 크라운 접착 후 모습입니다. 역시 유치 지르코니아크라운은 예뻐요^^
엑스레이에서 확인해보면 가운데 치아는 신경치료하지 않은 치아임을 알 수 있고, 크라운이 뜨거나 하지 않고 정확히 잘 들어갔음을 알수 있습니다. 크라운의 양쪽 치아도 눈으로봐서는 치료한 치아인지 알 수 없을 정도로 깔끔하게 레진으로 잘 치료되었습니다.
유치 지르코니아크라운은 높은 생체친화성, 은니와 비교할 수 없는 심미적인 우월성, 마모되지 않는 재질로 구멍이 날 걱정이 없다는 장점에도 불구하고, 그 시술의 까다로움 때문에 많은 치과의사들이 기피하곤 합니다.

유치지르코니아크라운과 은니 SS 크라운
하지만, 유치지르코니아크라운도 치아의 어느 포인트를 얼만큼 삭제해야하는지 정확히 알고 있다면 빠르게, 삭제량 크지 않게, 잇몸도 상하지 않게 한번에 잘 넣을 수 있습니다.
아이가 크라운치료가 필요한가요? 치료한 티나지 않게 예쁘게 크라운을 해주고 싶으신가요? 유치지르코니아크라운은 하얗고 반짝반짝하게 아이의 웃음을 지켜줍니다. 최소삭제량으로 아이 힘들지 않게 치료할 수 있는 경험많은 병원을 잘 찾아보시고 선택하시기 바랍니다.
치료개시일: 2024.12.13. 치료종료일: 2024.12.13. |
본 포스팅은 의료정보 제공 목적으로 의료법 제 56조 1항을 준수하여 치과의사가 직접 작성한 글입니다.
이 치료결과는 본 환자분에게만 해당되는 것이며
환자의 상태에 따라 치료결과가 다를 수 있습니다.
치료 전 후 사진은 인물이 동일하며, 같은 조건하에서 촬영한 사진을 사용하였습니다.
모든 시술은 개인에 따라 차이가 있을 수 있으며 부작용(염증, 붓기 등)이 발생할 수 있습니다.
담당 의료진과 충분한 상담을 후 치료를 진행하시기 바랍니다.
치료 전/후 사진은 의료법 제 23조,56조에 의거하여 게재합니다.
안녕하세요? 16년차 소아치과전문의 서울효앤주니어치과 대표원장 김효선입니다.
저희 병원에서 유치의 크라운을 할 때 치아색크라운(지르코니아 크라운)을 선택하시는 비율이 60퍼센트, 기존 은니(SS 크라운) 선택하시는 비율이 40퍼센트 정도 되는 것 같네요.
저는 교정이든 치료든, 무조건 아이들 이는 예쁘게 해주는 걸 좋아해서요, 임상을 시작한 초기부터 예쁜 지르코니아크라운에 관심을 가져 유치 지르코니아크라운이 처음 국내 도입된 시기부터 십몇년간 치료건수가 많이 쌓였습니다.
그런데 간혹, 다른 치과에서 혹은 다른 곳에서 "지르코니아 크라운은 치아삭제량이 많아서 신경치료 없이는 불가능하다" 라는 말을 들으시곤 저희에게 문의하시는 분들이 계십니다.
정말 그럴까요?
지르코니아 크라운은 난이도가 높은 시술이 맞습니다.
따라서 만일 제가 이 크라운을 일상적으로 매일 하지 않는다면, 지르코니아크라운이 치아에 들어가게 하기 위해서는 치아를 많이 깎게 되고, 잘 안맞으니 치아를 삭제하고, 맞춰보고, 또 삭제하고 맞춰보고 하는 과정에서 시간도 오래걸리고 삭제량도 많아질 수 있겠죠.
그러나 무엇이든 많이 해본 사람에게는 노하우가 생깁니다.
제가 지르코니아크라운 할 때 걸리는 시간은 기존의 은니크라운할 때 걸리는 시간과 비슷합니다. 또한 어느 포인트를 얼만큼 삭제해야 크라운이 들어가는지를 알고 있으니, 치아삭제량도 크지 않아 신경치료하지 않는 케이스에서 지르코니아크라운을 많이하고 있습니다. 즉, 신경을 건드리지 않는 정도로 적게 삭제하고 치아색크라운, 지르코니아크라운을 충분히 넣을 수 있답니다.
다음은 치아의 양 옆 사이가 썩어 가운데 낀 치아를 크라운한 케이스입니다.


치아의 양쪽에 사이충치가 있습니다.

양쪽 치아 레진치료 후, 가운데 치아 크라운치료 들어갑니다.삭제량이 크지 않아 신경치료 없이도 치료하였으며 잇몸 아래로 기구를 넣어 다듬는데도 잇몸에 출혈이 나지 않습니다.
(잇몸이 크게 다치치 않습니다.)


맞는 사이즈의 크라운 접착 후 모습입니다. 역시 유치 지르코니아크라운은 예뻐요^^엑스레이에서 확인해보면 가운데 치아는 신경치료하지 않은 치아임을 알 수 있고, 크라운이 뜨거나 하지 않고 정확히 잘 들어갔음을 알수 있습니다. 크라운의 양쪽 치아도 눈으로봐서는 치료한 치아인지 알 수 없을 정도로 깔끔하게 레진으로 잘 치료되었습니다.
유치 지르코니아크라운은 높은 생체친화성, 은니와 비교할 수 없는 심미적인 우월성, 마모되지 않는 재질로 구멍이 날 걱정이 없다는 장점에도 불구하고, 그 시술의 까다로움 때문에 많은 치과의사들이 기피하곤 합니다.

유치지르코니아크라운과 은니 SS 크라운하지만, 유치지르코니아크라운도 치아의 어느 포인트를 얼만큼 삭제해야하는지 정확히 알고 있다면 빠르게, 삭제량 크지 않게, 잇몸도 상하지 않게 한번에 잘 넣을 수 있습니다.
아이가 크라운치료가 필요한가요? 치료한 티나지 않게 예쁘게 크라운을 해주고 싶으신가요? 유치지르코니아크라운은 하얗고 반짝반짝하게 아이의 웃음을 지켜줍니다. 최소삭제량으로 아이 힘들지 않게 치료할 수 있는 경험많은 병원을 잘 찾아보시고 선택하시기 바랍니다.
치료개시일: 2024.12.13.
치료종료일: 2024.12.13.
본 포스팅은 의료정보 제공 목적으로 의료법 제 56조 1항을 준수하여 치과의사가 직접 작성한 글입니다.
이 치료결과는 본 환자분에게만 해당되는 것이며
환자의 상태에 따라 치료결과가 다를 수 있습니다.
치료 전 후 사진은 인물이 동일하며, 같은 조건하에서 촬영한 사진을 사용하였습니다.
모든 시술은 개인에 따라 차이가 있을 수 있으며 부작용(염증, 붓기 등)이 발생할 수 있습니다.
담당 의료진과 충분한 상담을 후 치료를 진행하시기 바랍니다.
치료 전/후 사진은 의료법 제 23조,56조에 의거하여 게재합니다.