안녕하세요? 어린이의 충치치료와 교정치료에 진심인 16년차 소아치과 전문의 김효선입니다.
오늘은 제가 너무나 예뻐하는 교정환아의 교정치료를 종료하고... 기쁜 마음에 증례글을 작성합니다.
이 친구도 어렸을 때 심한 충치로 제가 수면치료하여 치아를 모두 치료해주었습니다. 일찍 발치한 치아도 있구요. 저희 병원에서 교정치료하는 아이들의 1/3정도는 어릴 때부터 저희 병원에서 수면 또는 웃음치료 등으로 충치치료를 하고, 계속 정기검진하다가 부정교합이 발견되어 교정치료까지 하는 어린이들 입니다.
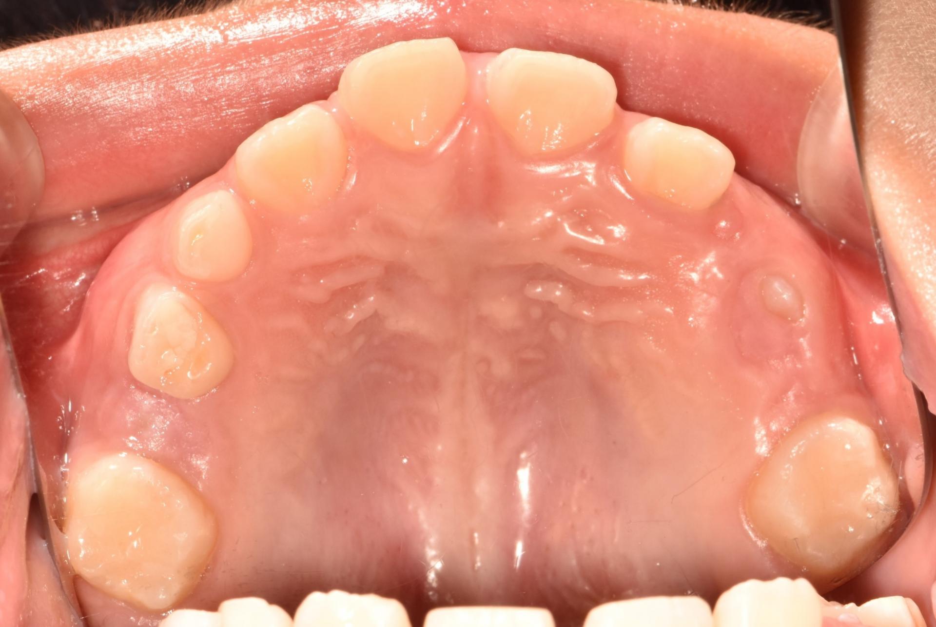
치료 전 구강 내 사진입니다 .




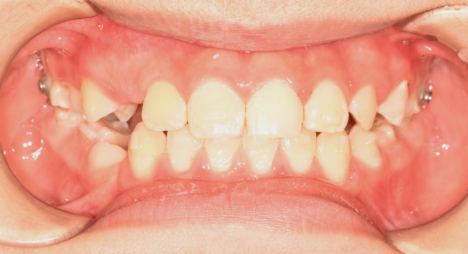
앞니가 벌어져 있고, 치아가 나올 공간이 부족합니다. 앞니끼리 서로 부딪히고 있네요.
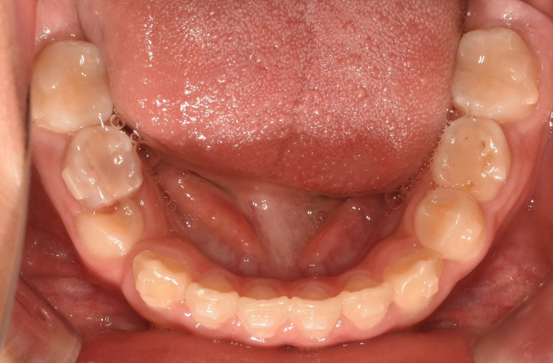
1년반의 투명교정이 끝나고 치아가 예쁘게 자리 잡았습니다.




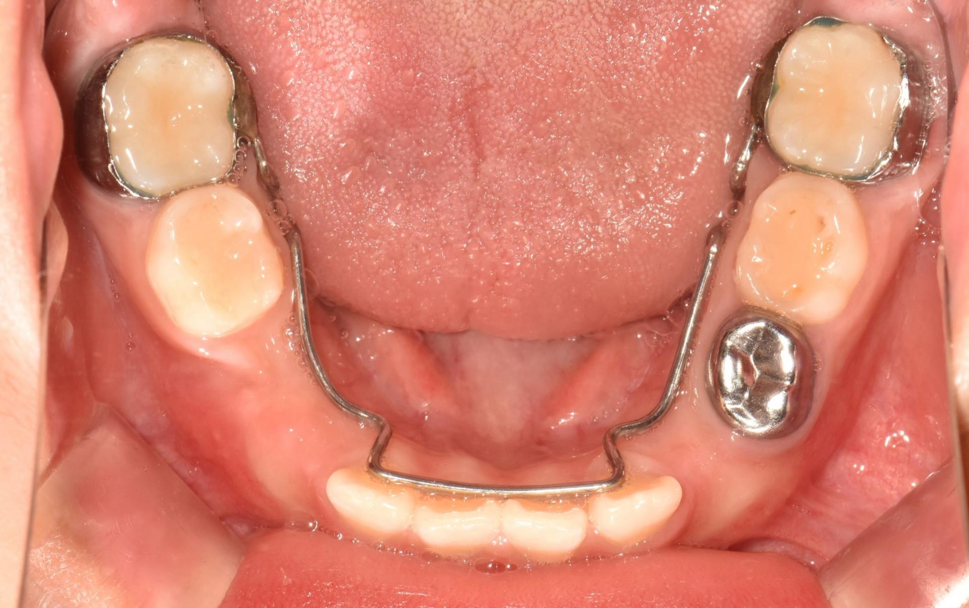
아래쪽 새로 나오는 어금니가 뒤로 기울어져나네요. 맹출을 더 기다린뒤 자연적인 해소가 안되면 부분적으로 해결해주기로 하였습니다. 제가 교정을 해준 친구.. 끝까지 예쁘게 해줄거에요♥
얼굴도 많이 예뻐졌어요!

1년 반의 기간 동안 장치를 성실하게 껴준 멋진 아이입니다.^^
아이들도 예쁜 웃음을 가지게 될때 더 자신감이 생기고 활짝 웃게 됩니다!
지금 우리 아이들에게 예쁜 웃음을 선물해주세요❤
서울효앤주니어소아치과 김효선 원장 치료 치료개시일: 2024.3.17 치료종료일: 2025.12.24
|
본 포스팅은 의료정보 제공 목적으로 의료법 제 56조 1항을 준수하여 치과의사가 직접 작성한 글입니다.
이 치료결과는 본 환자분에게만 해당되는 것이며 환자의 상태에 따라 치료결과가 다를 수 있습니다.
치료 전 후 사진은 인물이 동일하며, 같은 조건 하에서 촬영한 사진을 사용하였습니다.
교정치료 시 치근 흡수나 충치 및 잇몸질환 등 부작용이 생길 수 있으니
치과 전문의와 상의하여 치료받으시기 바랍니다.
치료 전/후 사진은 의료법 제 23조,56조에 의거하여 게재합니다.
안녕하세요? 어린이의 충치치료와 교정치료에 진심인 16년차 소아치과 전문의 김효선입니다.
오늘은 제가 너무나 예뻐하는 교정환아의 교정치료를 종료하고... 기쁜 마음에 증례글을 작성합니다.
이 친구도 어렸을 때 심한 충치로 제가 수면치료하여 치아를 모두 치료해주었습니다. 일찍 발치한 치아도 있구요. 저희 병원에서 교정치료하는 아이들의 1/3정도는 어릴 때부터 저희 병원에서 수면 또는 웃음치료 등으로 충치치료를 하고, 계속 정기검진하다가 부정교합이 발견되어 교정치료까지 하는 어린이들 입니다.
치료 전 구강 내 사진입니다 .
앞니가 벌어져 있고, 치아가 나올 공간이 부족합니다. 앞니끼리 서로 부딪히고 있네요.
1년반의 투명교정이 끝나고 치아가 예쁘게 자리 잡았습니다.
아래쪽 새로 나오는 어금니가 뒤로 기울어져나네요. 맹출을 더 기다린뒤 자연적인 해소가 안되면 부분적으로 해결해주기로 하였습니다. 제가 교정을 해준 친구.. 끝까지 예쁘게 해줄거에요♥
얼굴도 많이 예뻐졌어요!
1년 반의 기간 동안 장치를 성실하게 껴준 멋진 아이입니다.^^
아이들도 예쁜 웃음을 가지게 될때 더 자신감이 생기고 활짝 웃게 됩니다!
지금 우리 아이들에게 예쁜 웃음을 선물해주세요❤
본 포스팅은 의료정보 제공 목적으로 의료법 제 56조 1항을 준수하여 치과의사가 직접 작성한 글입니다.
이 치료결과는 본 환자분에게만 해당되는 것이며 환자의 상태에 따라 치료결과가 다를 수 있습니다.
치료 전 후 사진은 인물이 동일하며, 같은 조건 하에서 촬영한 사진을 사용하였습니다.
교정치료 시 치근 흡수나 충치 및 잇몸질환 등 부작용이 생길 수 있으니
치과 전문의와 상의하여 치료받으시기 바랍니다.
치료 전/후 사진은 의료법 제 23조,56조에 의거하여 게재합니다.