🔒 일부 게시물은 로그인 회원 전용 콘텐츠입니다.
수면치료는 아이가 트라우마나 불편한 기억없이 지금 당장 필요한 치료를 편하게 한 번에 받을 수 있게 해줍니다. 그 다음에 치과에 와서는 정기검진, 치과의사 선생님과 거울로 입안보기
아이치과 수면치료 왜 하나요? 수면치료하는 진짜 이유수면치료는 아이가 트라우마나 불편한 기억없이 지금 당장 필요한 치료를 편하게 한 번에 받을 수 있게 해줍니다. 그 다음에 치과에 와서는 정기검진, 치과의사 선생님과 거울로 입안보기
성장기 시기에 교정하는 것의 장점은 너무나 많은데요, 저희 병원에서는 브라켓 교정도 많이 하고 투명교정도 많이 하는데, 요즈음에는 대부분의 부모님들께서 투명교정을 선택하시는 추세입니다.
어린이 교정, 삐뚤빼뚤한 덧니의 쉽고 빠른 투명교정성장기 시기에 교정하는 것의 장점은 너무나 많은데요, 저희 병원에서는 브라켓 교정도 많이 하고 투명교정도 많이 하는데, 요즈음에는 대부분의 부모님들께서 투명교정을 선택하시는 추세입니다.
처음 국내 도입된 시기부터 십 몇년 간 치료 건수가 많이 쌓였습니다. 그런데 간혹, 다른 치과에서 "지르코니아 크라운은 삭제량이 많아서 신경치료 없이는 불가능하다"라는 말을 들으시곤
어린이 치아색크라운은 치아삭제량이 많다던데...정말인가요?처음 국내 도입된 시기부터 십 몇년 간 치료 건수가 많이 쌓였습니다. 그런데 간혹, 다른 치과에서 "지르코니아 크라운은 삭제량이 많아서 신경치료 없이는 불가능하다"라는 말을 들으시곤
최신글
안녕하세요? 16년차 소아치과 전문의 김효선입니다.
오늘은 저희 병원에서 가장 활발히 진행하는 투명교정장치 케이스 중 하나 입니다.
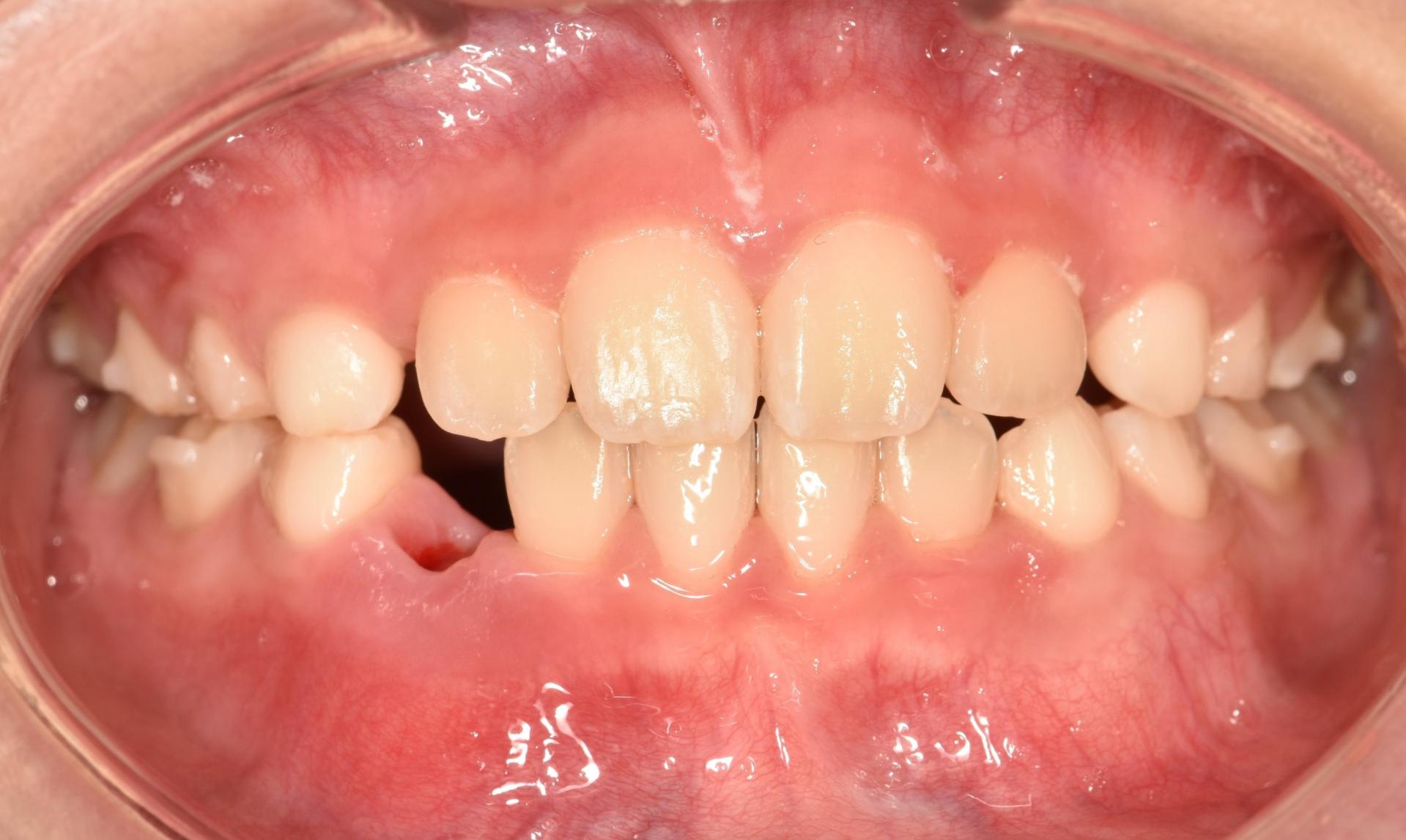
"앞니가 튀어나오고 삐뚤빼뚤해요."
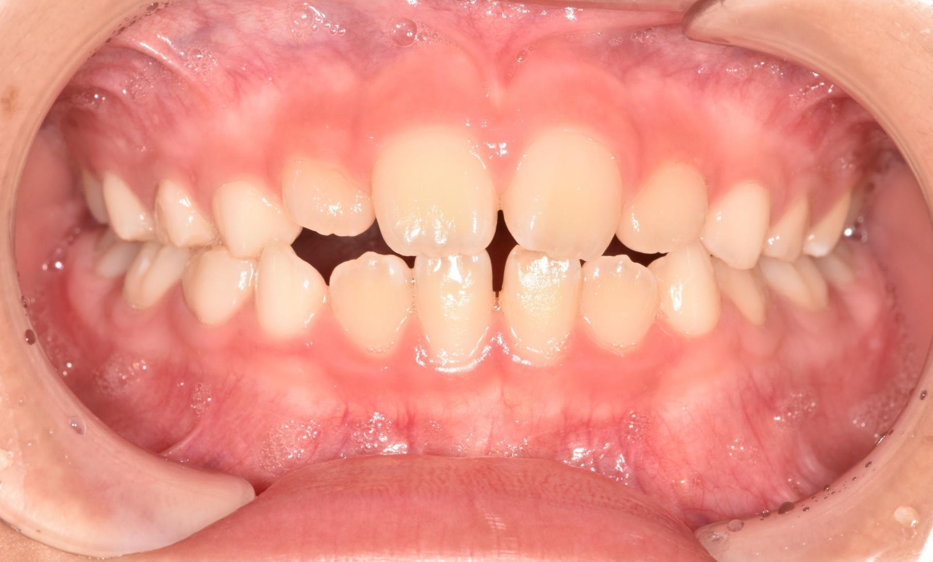
초진 사진입니다. 고르지 못한 앞니와 치아의 회전으로 인한 위아래 앞니의 부딪힘이 발생하고 있습니다. 또한 위아래 앞니의 뻐드러짐과 돌출이 보입니다.
아이는 투명교정으로 앞니의 배열과 확장을 통한 후속영구치의 맹출공간 확보를 하기로 하고 스캔을 진행하여 1년간 투명교정 장치를 성실하게 착용했습니다.
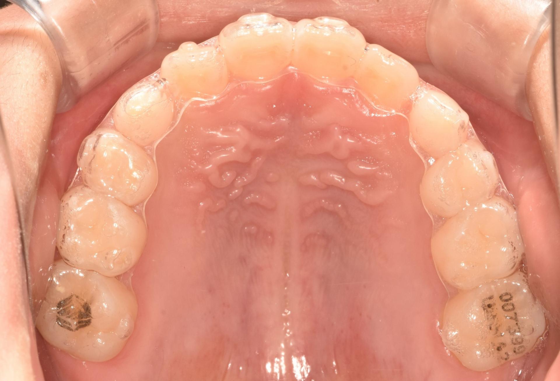
교정 진행중, 투명교정장치를 착용한 모습입니다. 치아위로 철사가 지나가지 않으니, 교정하는 것이 남들 눈에 띄지 않게, 편하게 뺏다 꼈다 하고, 철사 찔림이 발생하지 않으며 통증없이 치료를 진행할 수 있다는 장점이 있어 많은 어린이들이 선호하는 치료입니다!
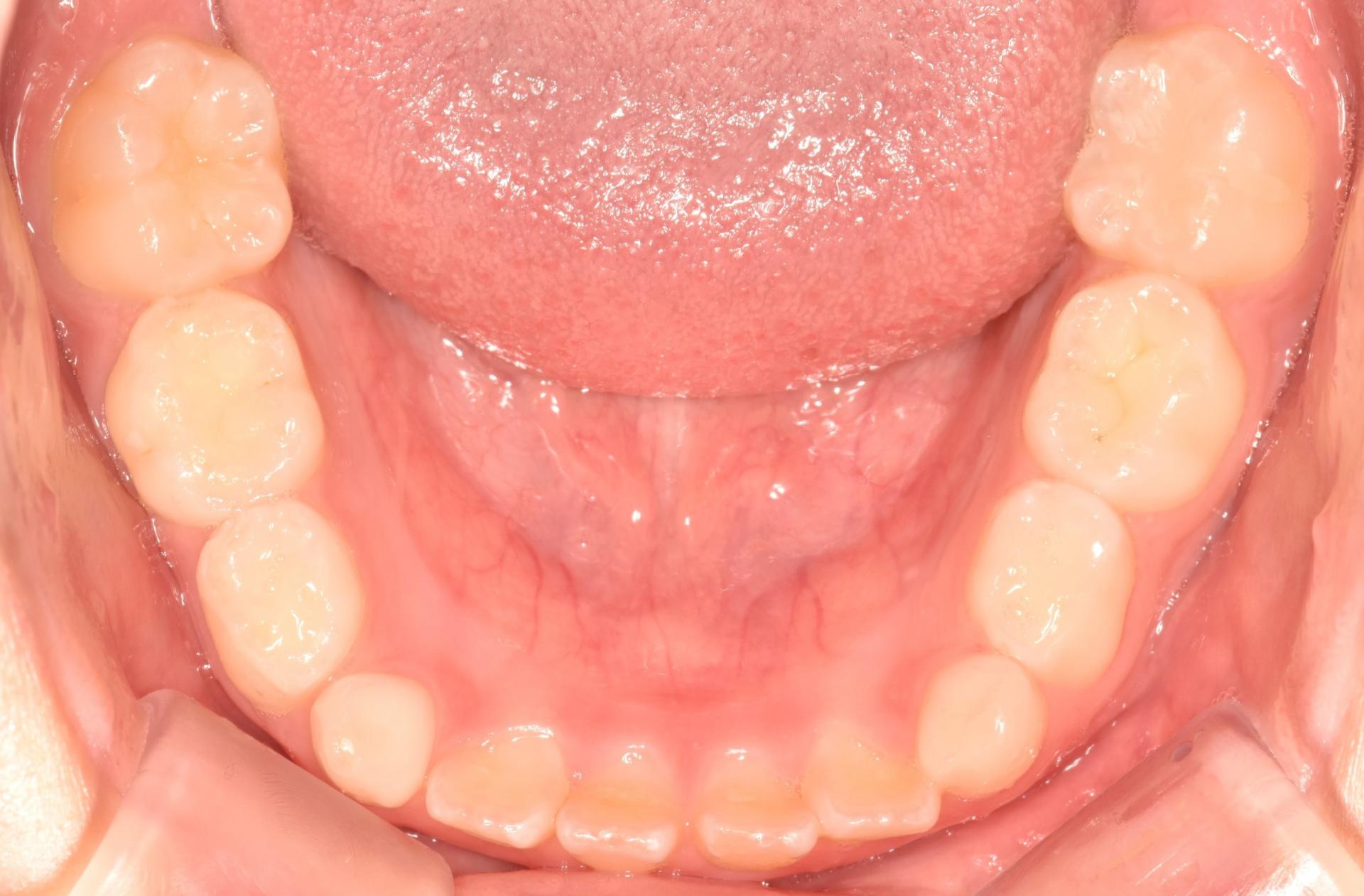
1년의 교정치료 기간 끝에 뻐드러진 치아도 안으로 예쁘게 넣었고 부딪히는 치아 없이 배열도 완료 되었습니다. 더불어 덧니되지 않도록 앞으로 나올 송곳니의 자리까지 마련했답니다.
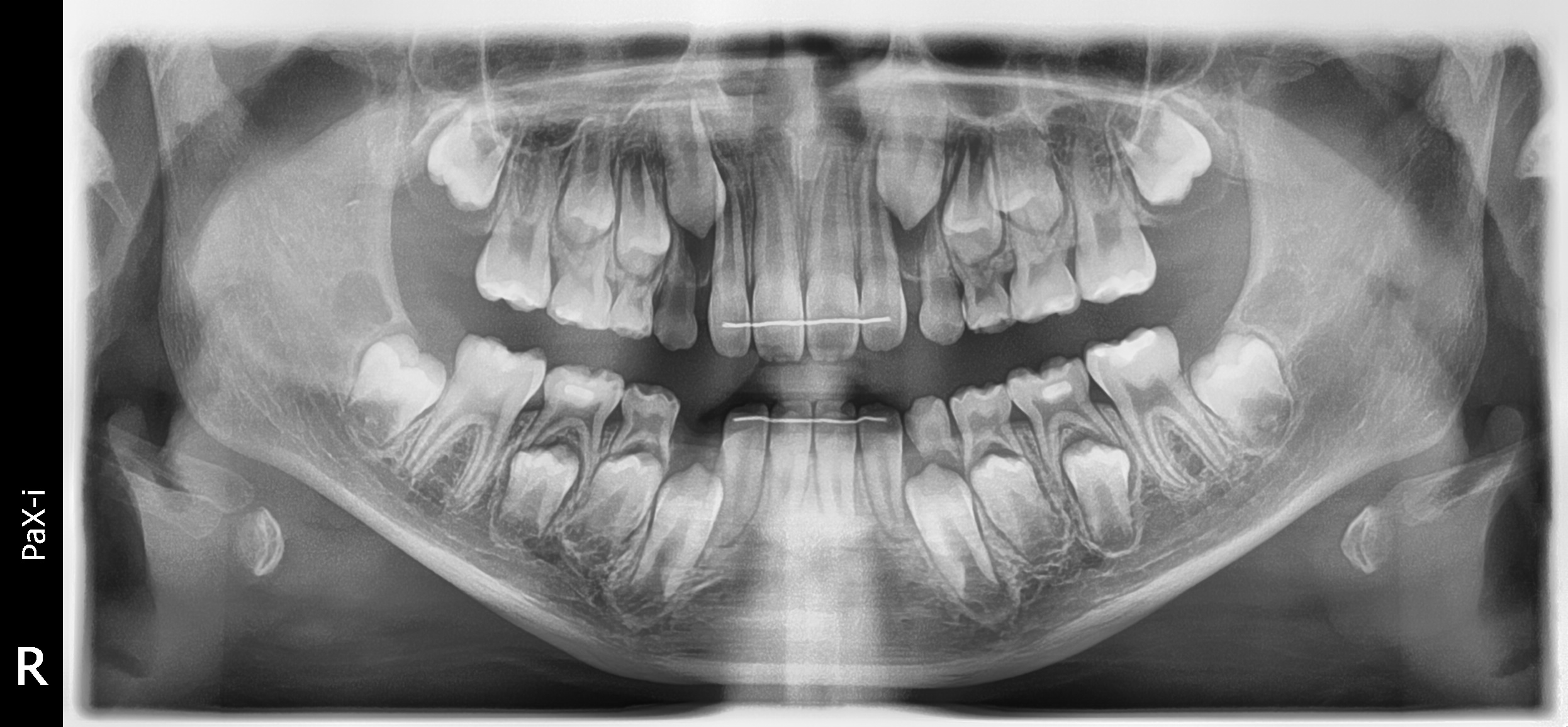
종료 후 x-ray 사진
치아가 나올 공간을 모두 마련해놓았으니 이제 예쁘게 나올 수 있을거에요!
아이가 활짝 예쁘게 웃었으면 좋겠습니다.^^
본 포스팅은 의료정보 제공 목적으로 의료법 제 56조 1항을 준수하여 치과의사가 직접 작성한 글입니다.이 치료결과는 본 환자분에게만 해당되는 것이며 환자의 상태에 따라 치료결과가 다를 수 있습니다.치료 전 후 사진은 인물이 동일하며, 같은 조건 하에서 촬영한 사진을 사용하였습니다.교정치료 시 치근 흡수나 충치 및 잇몸질환 등 부작용이 생길 수 있으니치과 전문의와 상의하여 치료받으시기 바랍니다.치료 전/후 사진은 의료법 제 23조,56조에 의거하여 게재합니다.
서울효앤주니어치과
대표 : 김효선
주소 : 서울 강서구 공항대로 186 3층
사업자등록번호 : 759-98-01302
Copyright © 2021 Hyo And Junior Dental Clinic. All Rights Reserved.
대표 : 김효선 | 주소 : 서울 강서구 공항대로 186 3층 | 사업자등록번호 : 759-98-01302Copyright © 2021 Hyo And Junior Dental Clinic. All Rights Reserved.
안녕하세요? 16년차 소아치과 전문의 김효선입니다.
오늘은 저희 병원에서 가장 활발히 진행하는 투명교정장치 케이스 중 하나 입니다.
"앞니가 튀어나오고 삐뚤빼뚤해요."
초진 사진입니다. 고르지 못한 앞니와 치아의 회전으로 인한 위아래 앞니의 부딪힘이 발생하고 있습니다. 또한 위아래 앞니의 뻐드러짐과 돌출이 보입니다.
아이는 투명교정으로 앞니의 배열과 확장을 통한 후속영구치의 맹출공간 확보를 하기로 하고 스캔을 진행하여 1년간 투명교정 장치를 성실하게 착용했습니다.
교정 진행중, 투명교정장치를 착용한 모습입니다. 치아위로 철사가 지나가지 않으니, 교정하는 것이 남들 눈에 띄지 않게, 편하게 뺏다 꼈다 하고, 철사 찔림이 발생하지 않으며 통증없이 치료를 진행할 수 있다는 장점이 있어 많은 어린이들이 선호하는 치료입니다!
1년의 교정치료 기간 끝에 뻐드러진 치아도 안으로 예쁘게 넣었고 부딪히는 치아 없이 배열도 완료 되었습니다. 더불어 덧니되지 않도록 앞으로 나올 송곳니의 자리까지 마련했답니다.
종료 후 x-ray 사진
치아가 나올 공간을 모두 마련해놓았으니 이제 예쁘게 나올 수 있을거에요!
아이가 활짝 예쁘게 웃었으면 좋겠습니다.^^
치료개시일: 2024.10.30
치료종료일: 2025.10.25
본 포스팅은 의료정보 제공 목적으로 의료법 제 56조 1항을 준수하여 치과의사가 직접 작성한 글입니다.
이 치료결과는 본 환자분에게만 해당되는 것이며 환자의 상태에 따라 치료결과가 다를 수 있습니다.
치료 전 후 사진은 인물이 동일하며, 같은 조건 하에서 촬영한 사진을 사용하였습니다.
교정치료 시 치근 흡수나 충치 및 잇몸질환 등 부작용이 생길 수 있으니
치과 전문의와 상의하여 치료받으시기 바랍니다.
치료 전/후 사진은 의료법 제 23조,56조에 의거하여 게재합니다.