안녕하세요? 경력 16년차 소아치과 전문의 김효선입니다.
오늘은 유치열에서 반대교합을 가진 어린이의 쉽고 빠른 프리올소 교정을 보여드릴게요!
아직 나이가 어린 친구들에서 앞니가 거꾸로 물리면 부모님들께서 걱정을 많이 하십니다.
아직 어린데 교정을 하기도 어렵고, 턱은 자꾸 나올 것 같고 어떻게 해야하나 이런 고민이시죠.
유치열에서 반대교합은 마우스피스 형 밤에 물고 자는 근기능 장치로 교정 가능합니다!
힘들거나 불편한 점이 다른 교정장치에 비해 현저히 적어서 어린 친구들도 잘 껴주고 효과도 좋답니다.
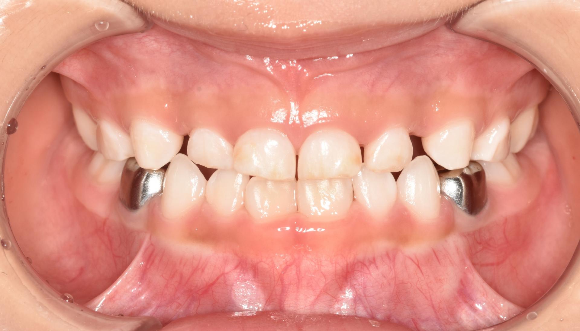
다음은 4세 7개월의 예쁜 여자친구의 반대교합 case 입니다.
저희병원에서 수면치료로 충치도 다 치료하였고, 부정교합도 치료하였습니다.


앞니가 거꾸로 물리는 부정교합이네요.
아직 나이가 어리지만 장치를 성실히 껴주었답니다.
10개월 뒤 결과를 볼까요?


밤에 물고자는 프리올소를 열심히 꼈을 뿐인데 반대교합이 모두 개선되었네요! 이제 아래 앞니가 나오고 있습니다.
얼굴형태는 어떻게 변했을까요?


아래턱이 나와보이는 옆모습에서 예쁜 옆모습으로 변했네요^^
어린 친구들도 잘껴주는 근기능장치 프리올소!
케이스를 잘 적용하여 치료한다면 아주 좋은 결과를 얻을 수 있습니다.
오늘은 어린이 유치 반대교합을 간단히 밤에 물고자는 마우스피스형 근기능장치 , 프리올소로 치료한 사례를 보여드렸습니다.
아직 어린친구가 반대교합을 보인다면 소아치과전문의와 상의하세요!^^
서울효앤주니어치과 김효선 원장 치료 치료 개시일: 2024. 02.19. 치료 종료일: 2024. 12. 28 |
본 포스팅은 의료정보 제공 목적으로 의료법 제 56조 1항을 준수하여 치과의사가 직접 작성한 글입니다.
이 치료결과는 본 환자분에게만 해당되는 것이며 환자의 상태에 따라 치료결과가 다를 수 있습니다.
치료 전 후 사진은 인물이 동일하며, 같은 조건하에서 촬영한 사진을 사용하였습니다.
교정치료 시 치근 흡수나 충치 및 잇몸질환 등 부작용이 생길 수 있으니
치과 전문의와 상의하여 치료받으시기 바랍니다.
치료 전/후 사진은 의료법 제 23조,56조에 의거하여 게재합니다.
안녕하세요? 경력 16년차 소아치과 전문의 김효선입니다.
오늘은 유치열에서 반대교합을 가진 어린이의 쉽고 빠른 프리올소 교정을 보여드릴게요!
아직 나이가 어린 친구들에서 앞니가 거꾸로 물리면 부모님들께서 걱정을 많이 하십니다.
아직 어린데 교정을 하기도 어렵고, 턱은 자꾸 나올 것 같고 어떻게 해야하나 이런 고민이시죠.
유치열에서 반대교합은 마우스피스 형 밤에 물고 자는 근기능 장치로 교정 가능합니다!
힘들거나 불편한 점이 다른 교정장치에 비해 현저히 적어서 어린 친구들도 잘 껴주고 효과도 좋답니다.
다음은 4세 7개월의 예쁜 여자친구의 반대교합 case 입니다.
저희병원에서 수면치료로 충치도 다 치료하였고, 부정교합도 치료하였습니다.
앞니가 거꾸로 물리는 부정교합이네요.
아직 나이가 어리지만 장치를 성실히 껴주었답니다.
10개월 뒤 결과를 볼까요?
밤에 물고자는 프리올소를 열심히 꼈을 뿐인데 반대교합이 모두 개선되었네요! 이제 아래 앞니가 나오고 있습니다.
얼굴형태는 어떻게 변했을까요?
아래턱이 나와보이는 옆모습에서 예쁜 옆모습으로 변했네요^^
어린 친구들도 잘껴주는 근기능장치 프리올소!
케이스를 잘 적용하여 치료한다면 아주 좋은 결과를 얻을 수 있습니다.
오늘은 어린이 유치 반대교합을 간단히 밤에 물고자는 마우스피스형 근기능장치 , 프리올소로 치료한 사례를 보여드렸습니다.
아직 어린친구가 반대교합을 보인다면 소아치과전문의와 상의하세요!^^
본 포스팅은 의료정보 제공 목적으로 의료법 제 56조 1항을 준수하여 치과의사가 직접 작성한 글입니다.
이 치료결과는 본 환자분에게만 해당되는 것이며 환자의 상태에 따라 치료결과가 다를 수 있습니다.
치료 전 후 사진은 인물이 동일하며, 같은 조건하에서 촬영한 사진을 사용하였습니다.
교정치료 시 치근 흡수나 충치 및 잇몸질환 등 부작용이 생길 수 있으니
치과 전문의와 상의하여 치료받으시기 바랍니다.
치료 전/후 사진은 의료법 제 23조,56조에 의거하여 게재합니다.