안녕하세요? 아이치과 수면치료 경력 16년차 소아치과 전문의 김효선입니다.
오늘은 겁이 많아 그동안 치료하지 못해 심하게 썩은 영구치를 수면치료로 치료한 케이스를 소개합니다.

아래치아치료 전 후 입니다.
아이는 저희 서울효앤주니어치과에 만 10세에 내원하였습니다.
"타 소아치과에서 영구치 충치가 심해서 치료가 안된다고 했어요. 치료가 가능할까요?"
이미 다른 치과에서 치료가 불가능하여 발치해야 한다는 이야기를 듣고 오신분 입니다.
물론 치아의 상태가 심각했지만, 아직 어린아이의 영구치를 발치하기는 너무 아깝습니다. 뒤의 치아가 쓰러지고 윗 치아가 내려올 것도 생각해야하구요. 임플란트를 하려면 성인까지 기다려야하니 10년은 남았습니다.


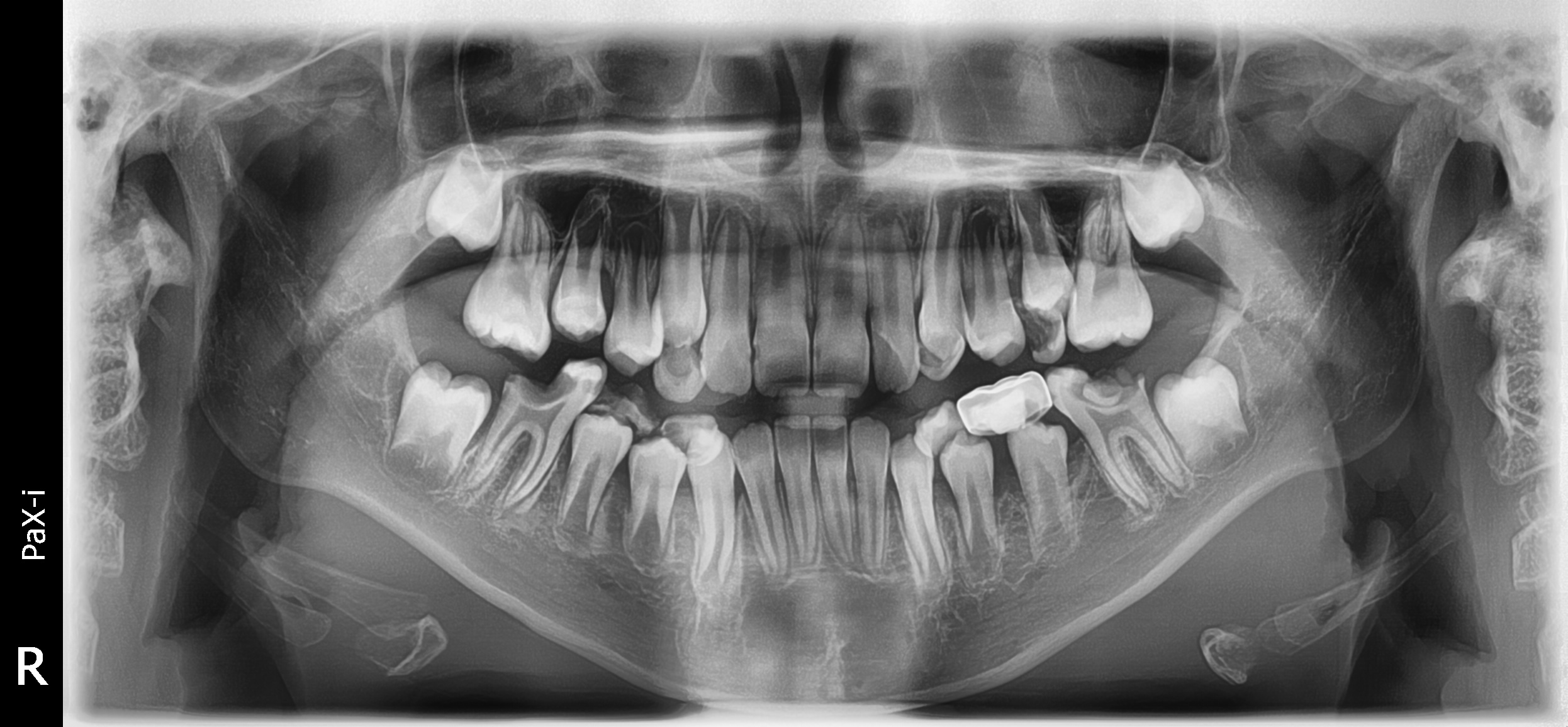
환아의 치료 전, 엑스레이와 구강 내 사진입니다. 거의 모든 치아에 충치가 있습니다. 특히 아래 어금니는 치아의 절반 넘게 충치로 깨져 없어진 상태입니다. 무서워서 빼야 할 시기를 한참 넘긴 남아있는 유치들도 많습니다. 그리고 영구치 윗니 앞니에 사이 충치가 보이네요.
아이의 협조도와 치료의 난이도를 고려하여, 수면진정치료 하에 모든 치아를 하루에 치료하였습니다.
나이가 아주 어린 친구가 아닌데도 정말 잘 자며 편안하게 치료를 마쳤답니다.
치료는 어떻게 했을까요?


앞니 사이에 썩은 충치들.😥 치료 중.


치료 후. 깨끗하게 레진으로 사이 충치 치료 완료👍
타 소아치과에서 치료하지 못한다고 했던 이는 어떻게 치료했을까요?


치료 전. 치아의 반 넘게 충치로 깨져있습니다.




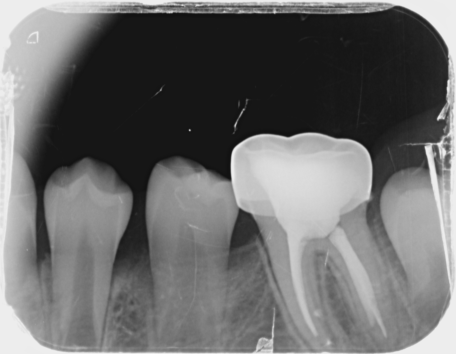
치료 후. 깨끗하게 신경치료 후 잘 기능할 수 있도록 영구치 SS 크라운을 씌워줬습니다. 아이가 다 성장하고 교합이 완성되면 성인 보철이 한번 필요합니다.




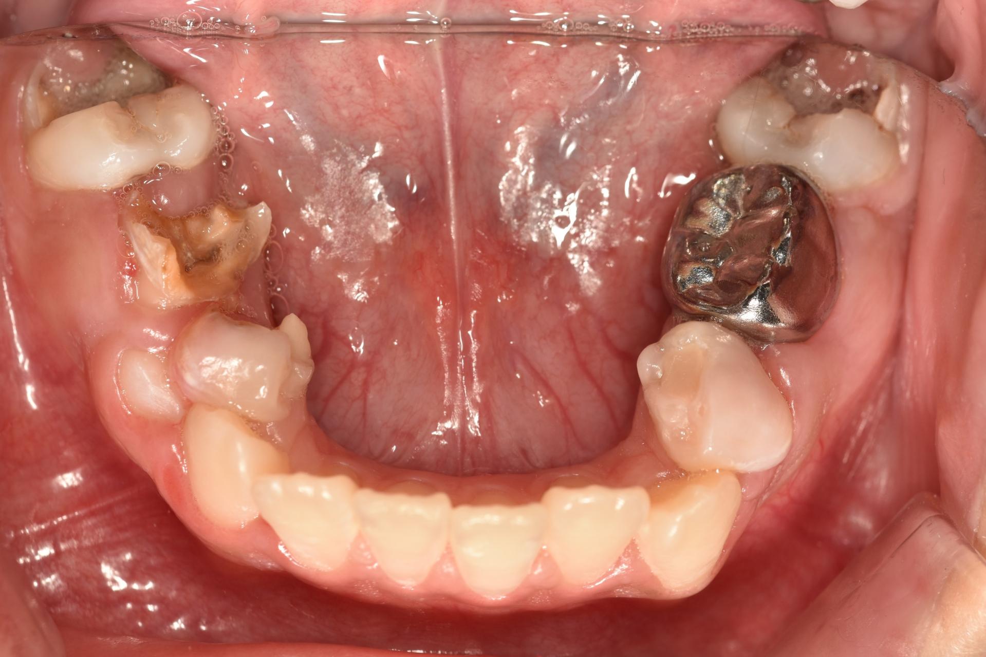
이후, 정기 검진을 와서 찍은 치료 후 사진과 비교입니다.
충치가 심해 신경치료 한 치아에도 염증이 없고 잇몸도 잘 나아서 깨끗해진 치아를 보니 다행이다 싶고 보람있습니다.^^
영구치 충치가 심한데, 아이는 겁이 많고... 어떻게 치료해야 할지 모르시는 보호자 분들께서 이 글을 보시고 도움이 되셨다면 좋겠습니다.
서울효앤주니어치과 김효선 대표원장 치료 치료시작일: 2025년 7월22일 치료종료일:2025년 7월 22일 |
본 포스팅은 의료정보 제공 목적으로 의료법 제 56조 1항을 준수하여 치과의사가 직접 작성한 글입니다.
이 치료결과는 본 환자분에게만 해당되는 것이며
환자의 상태에 따라 치료결과가 다를 수 있습니다.
치료 전 후 사진은 인물이 동일하며, 같은 조건하에서 촬영한 사진을 사용하였습니다.
모든 시술은 개인에 따라 차이가 있을 수 있으며 부작용(염증, 붓기 등)이 발생할 수 있습니다.
담당 의료진과 충분한 상담 후 치료를 진행하시기 바랍니다.
안녕하세요? 아이치과 수면치료 경력 16년차 소아치과 전문의 김효선입니다.
오늘은 겁이 많아 그동안 치료하지 못해 심하게 썩은 영구치를 수면치료로 치료한 케이스를 소개합니다.
아래치아치료 전 후 입니다.
아이는 저희 서울효앤주니어치과에 만 10세에 내원하였습니다.
"타 소아치과에서 영구치 충치가 심해서 치료가 안된다고 했어요. 치료가 가능할까요?"
이미 다른 치과에서 치료가 불가능하여 발치해야 한다는 이야기를 듣고 오신분 입니다.
물론 치아의 상태가 심각했지만, 아직 어린아이의 영구치를 발치하기는 너무 아깝습니다. 뒤의 치아가 쓰러지고 윗 치아가 내려올 것도 생각해야하구요. 임플란트를 하려면 성인까지 기다려야하니 10년은 남았습니다.
환아의 치료 전, 엑스레이와 구강 내 사진입니다. 거의 모든 치아에 충치가 있습니다. 특히 아래 어금니는 치아의 절반 넘게 충치로 깨져 없어진 상태입니다. 무서워서 빼야 할 시기를 한참 넘긴 남아있는 유치들도 많습니다. 그리고 영구치 윗니 앞니에 사이 충치가 보이네요.
아이의 협조도와 치료의 난이도를 고려하여, 수면진정치료 하에 모든 치아를 하루에 치료하였습니다.
나이가 아주 어린 친구가 아닌데도 정말 잘 자며 편안하게 치료를 마쳤답니다.
치료는 어떻게 했을까요?
앞니 사이에 썩은 충치들.😥 치료 중.
치료 후. 깨끗하게 레진으로 사이 충치 치료 완료👍
타 소아치과에서 치료하지 못한다고 했던 이는 어떻게 치료했을까요?
치료 전. 치아의 반 넘게 충치로 깨져있습니다.
치료 후. 깨끗하게 신경치료 후 잘 기능할 수 있도록 영구치 SS 크라운을 씌워줬습니다. 아이가 다 성장하고 교합이 완성되면 성인 보철이 한번 필요합니다.
이후, 정기 검진을 와서 찍은 치료 후 사진과 비교입니다.
충치가 심해 신경치료 한 치아에도 염증이 없고 잇몸도 잘 나아서 깨끗해진 치아를 보니 다행이다 싶고 보람있습니다.^^
영구치 충치가 심한데, 아이는 겁이 많고... 어떻게 치료해야 할지 모르시는 보호자 분들께서 이 글을 보시고 도움이 되셨다면 좋겠습니다.
본 포스팅은 의료정보 제공 목적으로 의료법 제 56조 1항을 준수하여 치과의사가 직접 작성한 글입니다.
이 치료결과는 본 환자분에게만 해당되는 것이며
환자의 상태에 따라 치료결과가 다를 수 있습니다.
치료 전 후 사진은 인물이 동일하며, 같은 조건하에서 촬영한 사진을 사용하였습니다.
모든 시술은 개인에 따라 차이가 있을 수 있으며 부작용(염증, 붓기 등)이 발생할 수 있습니다.
담당 의료진과 충분한 상담 후 치료를 진행하시기 바랍니다.