안녕하세요?어린이 치료경력 16년차 소아치과 전문의 김효선입니다.
초등학교 1~3학년 시기부터 새로나온 영구치가 삐뚤게 나오고 치아가 나올 공간이 부족하다는 말씀을 하시며 저희 병원을 찾아주시는 분들이 많습니다. 오늘은 예쁜 앞니를 만들고 추후 나올 송곳니 어금니들의 공간을 충분하게 해주는 소아 교정의 두가지 방법을 소개드릴게요!
1. 악궁확장장치 + 브라켓 교정
예전에는 이러한 친구들의 악궁을 1차로 확장하여 공간을 만든 다음, 브라켓 교정(철사교정이라고 하죠) 을 통하여 앞니를 예쁘게 해주었습니다.



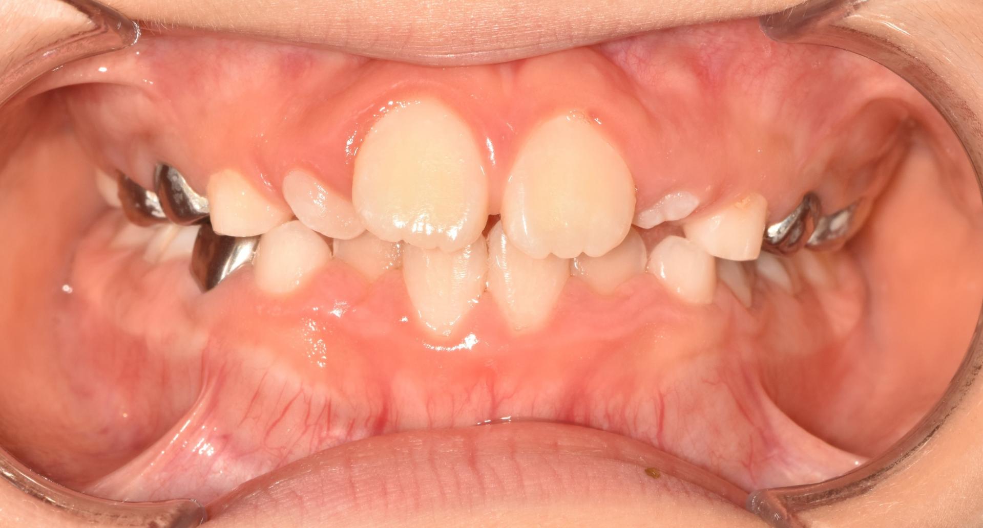
초진상태 입니다. 치아가 나올 공간이 부족하여 치아가 회전되어 삐뚤빼뚤나오고 앞니가 튀어나와있습니다.


예전부터 많이 하던 교정으로, 악궁확장장치(뺐다꼈다 하는 장치)로 악궁을 넓혀 공간을 만들고 삐뚤빼뚤한 치아는 브라켓 철사교정으로 예쁘게 해주었습니다.



치료완료 후의 모습입니다. 앞니도 가지런해졌고, 좁았던 악궁이 넓어져서 추후 나올 송곳니, 어금니의 공간도 충분합니다.
치료개시일 : 2024.02.16. 치료종료일 : 2024.09.09. |
2. 소아투명교정
시간이 갈 수록 좋은 치료 방법, 좋은 치료 재료들이 정말 잘 나오는것 같아요! 예전의 철사교정의 불편함을 보완하여 요새는 자유롭게 뺐다 꼈다 하는 투명교정장치로도 악궁확장과 치아의 예쁜 배열이 동시에 가능합니다. 요즘 편하게 교정하는 친구들 보면 부럽습니다. ㅎㅎ
오늘 소개 드릴 케이스는, 서울효앤주니어치과에서 충치치료도 다 하고 정기검진 중, 앞니가 삐뚤게 나고 있어 교정을 하게된 아이입니다.




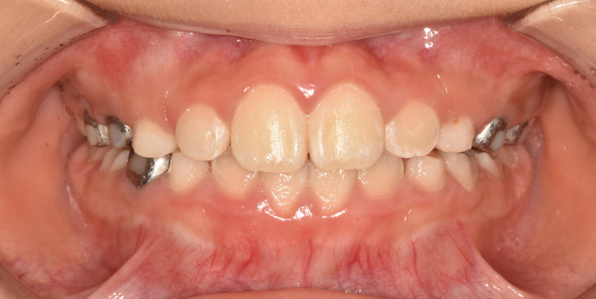
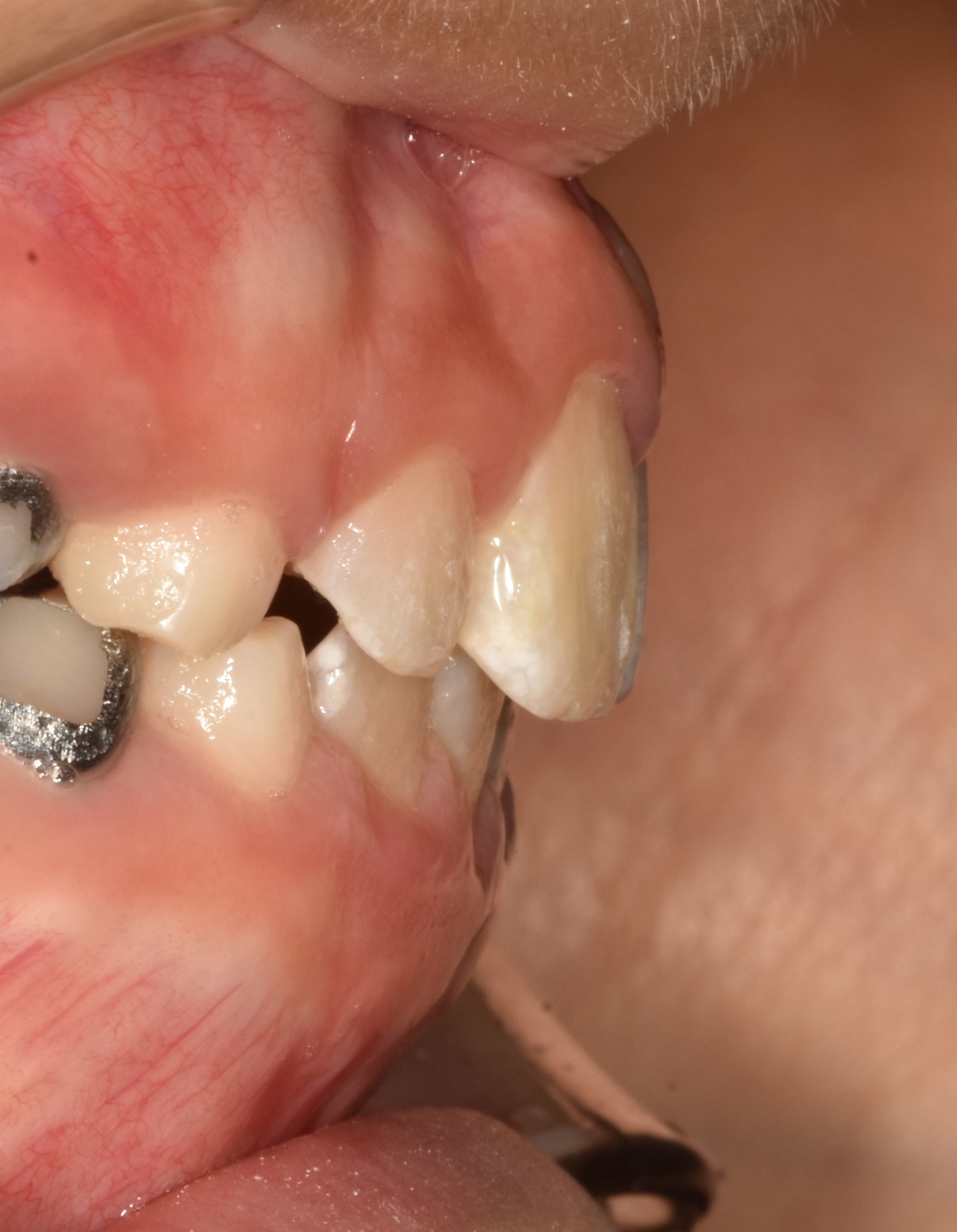
초진입니다. 위아래 앞나의 공간부족으로 이가 삐뚤뺴뚤 나고있고, 앞니도 뻐드려져있네요.



투명교정장치 착용중. 장치를 착용하여도 티가 나지 않습니다. 아이는 정말 성실하게 장치를 잘 껴주었습니다.




1년 후, 교정완료하였습니다. 튀어나온 앞니는 가지런히 넣었고 악궁을 확장하여 충분한 송곳니, 어금니의 맹출공간을 확보하였습니다.
치료개시일 : 2024.05.24. 치료종료일 : 2025.05.16. |
이와 같이 비슷한 케이스에서도, 여러 방법으로 교정을 할 수 있습니다.
예쁜 이를 가지는 길은 단 한가지만 있는 것은 아니랍니다.
하지만, 저희는 어린이 청소년 교정을 주로 하는 병원이므로, 어린이 청소년이 철사교정을 기피하는 특성들(철사 찔림 등의 응급상황 발생가능성, 양치 하기 어려워 충치 위험, 교정장치가 보여서 예쁘지 않음)을 고려하여 요즘에는 투명교정을 주로 하고 있답니다. 아이들, 어머님들이 투명교정을 훨씬 선호하시기도 하구요!
아이가 잘 껴줄 수 있을까? 이런 고민, 많이들 하십니다. 그런데 걱정마세요! 초등학생 아이들, 정말 잘 껴준답니다.^^ 아마도 이때가 가장 잘 장치를 껴주는 시기같아요. 오히려 중고등학생들이 사춘기가 와서 더 협조도가 떨어지는 경우가 많습니다... ㅠㅠ
소아교정이 필요한 어린이를 둔 부모님이라면 어떤 교정이 우리아이에게 맞을까? 궁금하실 수 있으실 것입니다. 정확한 장치는 아이의 상태를 보고 진단 후 결정하오니 내원하셔서 진료보시면 궁금증이 많이 해소될 것입니다.
본 포스팅은 의료정보 제공 목적으로 의료법 제 56조 1항을 준수하여 치과의사가 직접 작성한 글입니다.
이 치료결과는 본 환자분에게만 해당되는 것이며 환자의 상태에 따라 치료결과가 다를 수 있습니다.
치료 전 후 사진은 인물이 동일하며, 같은 조건하에서 촬영한 사진을 사용하였습니다.
교정치료 시 치근 흡수나 충치 및 잇몸질환 등 부작용이 생길 수 있으니
치과 전문의와 상의하여 치료받으시기 바랍니다.
치료 전/후 사진은 의료법 제 23조,56조에 의거하여 게재합니다.
안녕하세요?어린이 치료경력 16년차 소아치과 전문의 김효선입니다.
초등학교 1~3학년 시기부터 새로나온 영구치가 삐뚤게 나오고 치아가 나올 공간이 부족하다는 말씀을 하시며 저희 병원을 찾아주시는 분들이 많습니다. 오늘은 예쁜 앞니를 만들고 추후 나올 송곳니 어금니들의 공간을 충분하게 해주는 소아 교정의 두가지 방법을 소개드릴게요!
1. 악궁확장장치 + 브라켓 교정
예전에는 이러한 친구들의 악궁을 1차로 확장하여 공간을 만든 다음, 브라켓 교정(철사교정이라고 하죠) 을 통하여 앞니를 예쁘게 해주었습니다.
초진상태 입니다. 치아가 나올 공간이 부족하여 치아가 회전되어 삐뚤빼뚤나오고 앞니가 튀어나와있습니다.
예전부터 많이 하던 교정으로, 악궁확장장치(뺐다꼈다 하는 장치)로 악궁을 넓혀 공간을 만들고 삐뚤빼뚤한 치아는 브라켓 철사교정으로 예쁘게 해주었습니다.
치료완료 후의 모습입니다. 앞니도 가지런해졌고, 좁았던 악궁이 넓어져서 추후 나올 송곳니, 어금니의 공간도 충분합니다.
치료개시일 : 2024.02.16.
치료종료일 : 2024.09.09.
2. 소아투명교정
시간이 갈 수록 좋은 치료 방법, 좋은 치료 재료들이 정말 잘 나오는것 같아요! 예전의 철사교정의 불편함을 보완하여 요새는 자유롭게 뺐다 꼈다 하는 투명교정장치로도 악궁확장과 치아의 예쁜 배열이 동시에 가능합니다. 요즘 편하게 교정하는 친구들 보면 부럽습니다. ㅎㅎ
오늘 소개 드릴 케이스는, 서울효앤주니어치과에서 충치치료도 다 하고 정기검진 중, 앞니가 삐뚤게 나고 있어 교정을 하게된 아이입니다.
초진입니다. 위아래 앞나의 공간부족으로 이가 삐뚤뺴뚤 나고있고, 앞니도 뻐드려져있네요.
투명교정장치 착용중. 장치를 착용하여도 티가 나지 않습니다. 아이는 정말 성실하게 장치를 잘 껴주었습니다.
1년 후, 교정완료하였습니다. 튀어나온 앞니는 가지런히 넣었고 악궁을 확장하여 충분한 송곳니, 어금니의 맹출공간을 확보하였습니다.
치료개시일 : 2024.05.24.
치료종료일 : 2025.05.16.
이와 같이 비슷한 케이스에서도, 여러 방법으로 교정을 할 수 있습니다.
예쁜 이를 가지는 길은 단 한가지만 있는 것은 아니랍니다.
하지만, 저희는 어린이 청소년 교정을 주로 하는 병원이므로, 어린이 청소년이 철사교정을 기피하는 특성들(철사 찔림 등의 응급상황 발생가능성, 양치 하기 어려워 충치 위험, 교정장치가 보여서 예쁘지 않음)을 고려하여 요즘에는 투명교정을 주로 하고 있답니다. 아이들, 어머님들이 투명교정을 훨씬 선호하시기도 하구요!
아이가 잘 껴줄 수 있을까? 이런 고민, 많이들 하십니다. 그런데 걱정마세요! 초등학생 아이들, 정말 잘 껴준답니다.^^ 아마도 이때가 가장 잘 장치를 껴주는 시기같아요. 오히려 중고등학생들이 사춘기가 와서 더 협조도가 떨어지는 경우가 많습니다... ㅠㅠ
소아교정이 필요한 어린이를 둔 부모님이라면 어떤 교정이 우리아이에게 맞을까? 궁금하실 수 있으실 것입니다. 정확한 장치는 아이의 상태를 보고 진단 후 결정하오니 내원하셔서 진료보시면 궁금증이 많이 해소될 것입니다.
본 포스팅은 의료정보 제공 목적으로 의료법 제 56조 1항을 준수하여 치과의사가 직접 작성한 글입니다.
이 치료결과는 본 환자분에게만 해당되는 것이며 환자의 상태에 따라 치료결과가 다를 수 있습니다.
치료 전 후 사진은 인물이 동일하며, 같은 조건하에서 촬영한 사진을 사용하였습니다.
교정치료 시 치근 흡수나 충치 및 잇몸질환 등 부작용이 생길 수 있으니
치과 전문의와 상의하여 치료받으시기 바랍니다.
치료 전/후 사진은 의료법 제 23조,56조에 의거하여 게재합니다.