안녕하세요? 어린이 치료 경력 16년차 소아치과 전문의 김효선입니다.
오늘은 어린이크라운 이야기 입니다.
"다른 병원에 검진도 받고 치료도 받았는데 이렇게 크라운 종류를 선택할 수 있는 옵션이 있는지도 몰랐어요! 그냥 아이들은 모두 은니만 하는줄 알았어요!"

유치크라운_은색 ss 크라운과 치아색 지르코니아크라운
아이들에게 은니(SS. crown)이 나쁜 재료가 아닙니다. 그러나 부모님께서 여러가지 크라운에 이러이러한 장단점이 있다는 것을 알고 선택하실 수 있다면 그만큼 더 아이에게 좋은 치료를 제공할 수 있다고 생각합니다.
오늘은 은니 크라운이 자꾸 마모되고 구멍이 나서 지르코니아크라운으로 바꾼 예를 보여드릴게요. 사실 은니크라운이 마모되는 예는 흔히 보입니다. ss 크라운은 이갈이를 하거나 한다면 마모되거나 찢어질 수 있는 재료입니다.
아주 작은 구멍이라면 지켜보지만 그 구멍이 커지거나 찢어졌다면 그 부위로 또 충치세균이 감염되어 안쪽으로 충치가 커지거나, 염증이 생기는 경우가 많아 크라운을 다시 씌워줘야합니다. 그런데 문제는 다시 씌워준 은니가 재료의 한계 때문에 또 마모되곤 한다는 것입니다. ㅠㅠ
은니 마모로 지르코니아크라운 교체 예
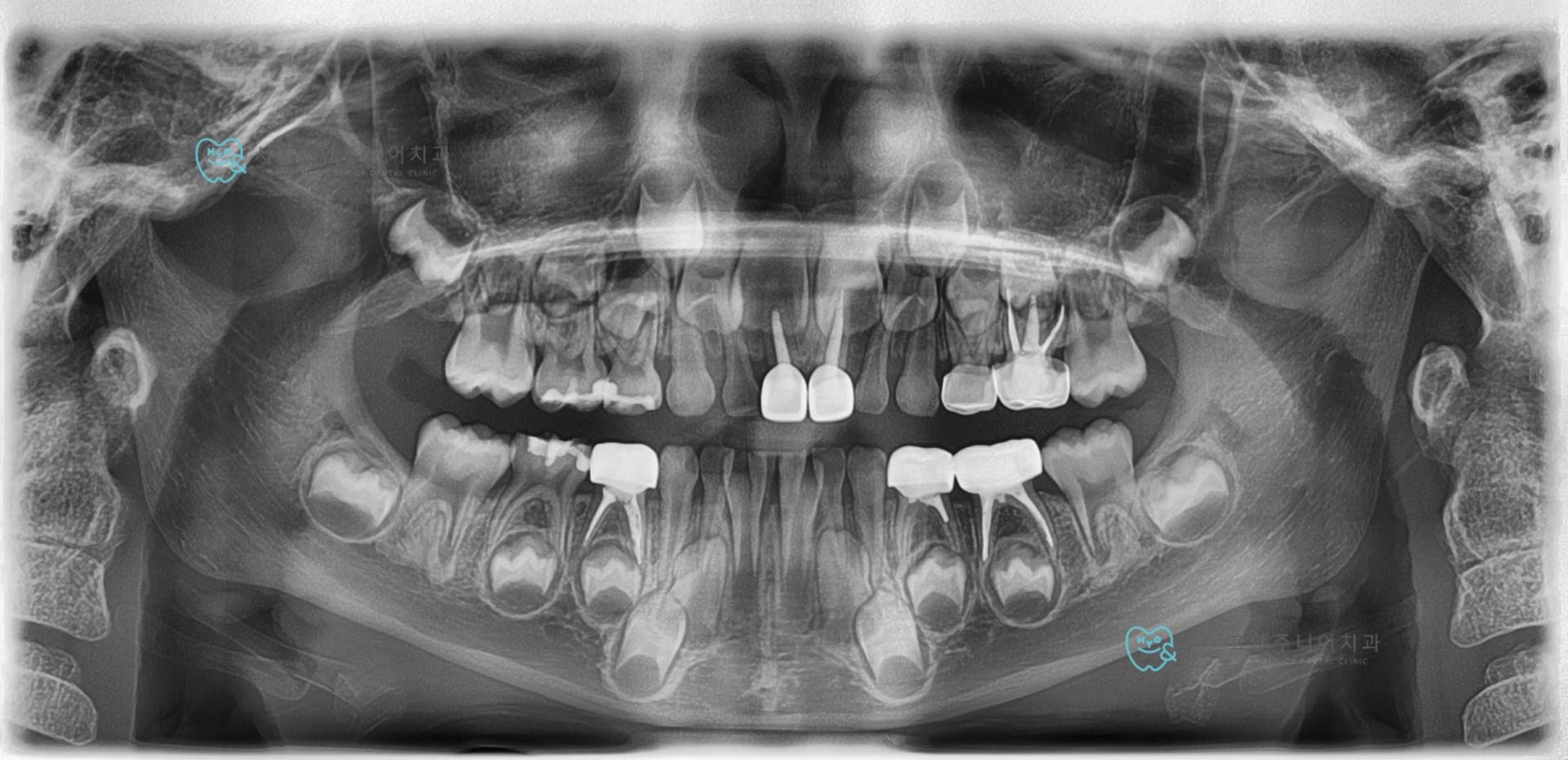
2년 3개월 전 아이가 아주 어렸을 때 심한 충치로 한번에 수면치료로 어금니와 앞니 충치를 치료했었는데요, 그때 아래쪽 잘 보이는 어금니는 지르코니아 크라운을 했고 상대적으로 잘 안보이는 위쪽 어금니는 은니, 즉 SS 크라운을 했습니다.

전체적인 충치치료 2년3개월 후 정기검진사진. 신경치료한 부위가 모두 염증없고 레진치료한 부위 이차충치 없이 잘 유지되고 있습니다.
그런데 이 SS 크라운이 시간이 지나면서 자꾸 구멍이 나네요 ㅠㅠ 그래서 1년 뒤, 벗겨내고 다시 한번 씌워주었습니다. 본인의 치아도 이갈이 습관이나 사용하면서 특별히 마모가 잘되는 어린이가 있습니다. 은니는 마모가 잘되기 때문에 이렇게 자꾸만 마모되거나 찢어지는 경우가 있어 주기적으로 교체하는 아이들이 있답니다.
이 어린이도 또 1년이 지나자 또 구멍이 크게 났습니다...
아이가 계속적으로 1년마다 크라운을 교체하는 것을 너무 힘들어 하기 때문에 이번에는 지르코니아크라운으로 바꿔주기로 하였습니다. 아직 만 6세 경으로 4~5년정도 더 사용 예정인 치아입니다.



유치크라운_ 찢어진 크라운을 벗겨내고 구멍이 나거나 마모되지 않는 지르코니아 크라운으로 교체
치료개시일: 2024.03.06. 치료종료일: 2024.03.06. |
이번에는 구멍나거나 찢어지지 않는 튼튼하고 색깔도 예쁜 치아색 유치크라운으로 바꿔줬으니 유치가 탈락할때까지 다시 씌우는 일 없이 잘 쓰겠죠?^^
구멍난 유치크라운을 방치하면 안으로 치아가 썩거나 신경치료한 치아에 염증이 생길 수 있습니다. 그래서 아주 작은 구멍은 지켜볼 수 있지만, 어느 정도 이상 구멍이 난 경우 새로 씌워줘야 한답니다.


유치크라운을 벗겨내자 안에 보이는 심하게 썩은 충치
그래서 처음부터 이렇게 구멍이나거나 찢어지지 않는 지르코니아크라운을 찾으시는 부모님들이 많으십니다. 지르코니아크라운은 마모되는 일이 없고 구멍이 나지 않아 이러한 일로 교체하는 일이 없습니다.
그러면 지르코니아크라운은 깨지지 않나요? 라고 물으시는 부모님들이 계신데요, 제대로 치아에 맞게 씌워준다면 깨지는 일이 거의 없습니다.
오늘은 지르코니아크라운의 여러가지 장점 중 하나인 높은 강도와 마모저항성에 관해 말씀드렸습니다. 지르코니아는 심미적인 목적으로도 하지만 이갈이가 심하여 은니가 구멍나는 친구들도 많이 선택하는 재료입니다.
여러가지 유치크라운 중 어떤 크라운이 우리 아이에게 가장 맞을까요?
충분히 상담하시고 결정하세요!^^
본 포스팅은 의료정보 제공 목적으로 의료법 제 56조 1항을 준수하여 치과의사가 직접 작성한 글입니다.
이 치료결과는 본 환자분에게만 해당되는 것이며
환자의 상태에 따라 치료결과가 다를 수 있습니다.
치료 전 후 사진은 인물이 동일하며, 같은 조건하에서 촬영한 사진을 사용하였습니다.
모든 시술은 개인에 따라 차이가 있을 수 있으며 부작용(염증, 붓기 등)이 발생할 수 있습니다.
담당 의료진과 충분한 상담 후 치료를 진행하시기 바랍니다.
안녕하세요? 어린이 치료 경력 16년차 소아치과 전문의 김효선입니다.
오늘은 어린이크라운 이야기 입니다.
"다른 병원에 검진도 받고 치료도 받았는데 이렇게 크라운 종류를 선택할 수 있는 옵션이 있는지도 몰랐어요! 그냥 아이들은 모두 은니만 하는줄 알았어요!"
유치크라운_은색 ss 크라운과 치아색 지르코니아크라운
아이들에게 은니(SS. crown)이 나쁜 재료가 아닙니다. 그러나 부모님께서 여러가지 크라운에 이러이러한 장단점이 있다는 것을 알고 선택하실 수 있다면 그만큼 더 아이에게 좋은 치료를 제공할 수 있다고 생각합니다.
오늘은 은니 크라운이 자꾸 마모되고 구멍이 나서 지르코니아크라운으로 바꾼 예를 보여드릴게요. 사실 은니크라운이 마모되는 예는 흔히 보입니다. ss 크라운은 이갈이를 하거나 한다면 마모되거나 찢어질 수 있는 재료입니다.
아주 작은 구멍이라면 지켜보지만 그 구멍이 커지거나 찢어졌다면 그 부위로 또 충치세균이 감염되어 안쪽으로 충치가 커지거나, 염증이 생기는 경우가 많아 크라운을 다시 씌워줘야합니다. 그런데 문제는 다시 씌워준 은니가 재료의 한계 때문에 또 마모되곤 한다는 것입니다. ㅠㅠ
2년 3개월 전 아이가 아주 어렸을 때 심한 충치로 한번에 수면치료로 어금니와 앞니 충치를 치료했었는데요, 그때 아래쪽 잘 보이는 어금니는 지르코니아 크라운을 했고 상대적으로 잘 안보이는 위쪽 어금니는 은니, 즉 SS 크라운을 했습니다.
전체적인 충치치료 2년3개월 후 정기검진사진. 신경치료한 부위가 모두 염증없고 레진치료한 부위 이차충치 없이 잘 유지되고 있습니다.
그런데 이 SS 크라운이 시간이 지나면서 자꾸 구멍이 나네요 ㅠㅠ 그래서 1년 뒤, 벗겨내고 다시 한번 씌워주었습니다. 본인의 치아도 이갈이 습관이나 사용하면서 특별히 마모가 잘되는 어린이가 있습니다. 은니는 마모가 잘되기 때문에 이렇게 자꾸만 마모되거나 찢어지는 경우가 있어 주기적으로 교체하는 아이들이 있답니다.
이 어린이도 또 1년이 지나자 또 구멍이 크게 났습니다...
아이가 계속적으로 1년마다 크라운을 교체하는 것을 너무 힘들어 하기 때문에 이번에는 지르코니아크라운으로 바꿔주기로 하였습니다. 아직 만 6세 경으로 4~5년정도 더 사용 예정인 치아입니다.
유치크라운_ 찢어진 크라운을 벗겨내고 구멍이 나거나 마모되지 않는 지르코니아 크라운으로 교체
이번에는 구멍나거나 찢어지지 않는 튼튼하고 색깔도 예쁜 치아색 유치크라운으로 바꿔줬으니 유치가 탈락할때까지 다시 씌우는 일 없이 잘 쓰겠죠?^^
구멍난 유치크라운을 방치하면 안으로 치아가 썩거나 신경치료한 치아에 염증이 생길 수 있습니다. 그래서 아주 작은 구멍은 지켜볼 수 있지만, 어느 정도 이상 구멍이 난 경우 새로 씌워줘야 한답니다.
유치크라운을 벗겨내자 안에 보이는 심하게 썩은 충치
그래서 처음부터 이렇게 구멍이나거나 찢어지지 않는 지르코니아크라운을 찾으시는 부모님들이 많으십니다. 지르코니아크라운은 마모되는 일이 없고 구멍이 나지 않아 이러한 일로 교체하는 일이 없습니다.
그러면 지르코니아크라운은 깨지지 않나요? 라고 물으시는 부모님들이 계신데요, 제대로 치아에 맞게 씌워준다면 깨지는 일이 거의 없습니다.
오늘은 지르코니아크라운의 여러가지 장점 중 하나인 높은 강도와 마모저항성에 관해 말씀드렸습니다. 지르코니아는 심미적인 목적으로도 하지만 이갈이가 심하여 은니가 구멍나는 친구들도 많이 선택하는 재료입니다.
여러가지 유치크라운 중 어떤 크라운이 우리 아이에게 가장 맞을까요?
충분히 상담하시고 결정하세요!^^
본 포스팅은 의료정보 제공 목적으로 의료법 제 56조 1항을 준수하여 치과의사가 직접 작성한 글입니다.
이 치료결과는 본 환자분에게만 해당되는 것이며
환자의 상태에 따라 치료결과가 다를 수 있습니다.
치료 전 후 사진은 인물이 동일하며, 같은 조건하에서 촬영한 사진을 사용하였습니다.
모든 시술은 개인에 따라 차이가 있을 수 있으며 부작용(염증, 붓기 등)이 발생할 수 있습니다.
담당 의료진과 충분한 상담 후 치료를 진행하시기 바랍니다.